【病例分享】美学区阶段性延期种植和修复一例

前 言

本病例为年轻女性,在口腔科进行前牙美学区的桩核冠修复后,因外伤致使牙齿松动数年未曾就诊。经检查后确认唇侧骨壁开窗型缺损,患牙根尖炎症致使唇侧附着龈反复肿胀破溃。同时患牙根方存在埋伏多生牙。考虑患者的美学诉求和修复结果的长期稳定性。评估后选择特性较为合理的植体,分阶段性延期种植延期修复。以保证美学区红白美学的建立与稳定。因疫情原因延长了治疗时间,但最终病例基本达到了应有的效果和患者的需求。

优秀病例,与您分享!

患者基本信息

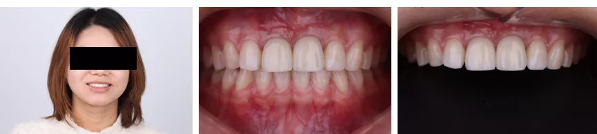
·     患者年龄:31岁

·     患者性别:女

·     患者主诉:上前牙数年前外伤。修复后数月咬物不适,近日加重伴疼痛。

·     既往病史:系统病史-既往体健,否认系统病史。

·     口腔科病史:

·      个人社会史:无吸烟饮酒嗜好。

·      家族史:无特殊。

口外检查

·      颌面部检查:左右面部丰满度相对对称,直面型下唇近E线。鼻唇角正常。

·      颞下颌关节区检查:开口型开口度正常,关节无疼痛弹响,肌肉丰满度较为一致,无压痛及肿块。

口内检查

·      牙列检查:#11-#21冠桥修复体松动I°,叩(+)。咬合无高点。

·      软组织检查:#11-#21龈缘潮红,附着龈充血,膜龈联合处见3*3mm红色肿物,质软。

·      咬合检查:覆颌覆盖正常,咬合稳定,双侧对称。

·      口内一般情况检查

影像学检查

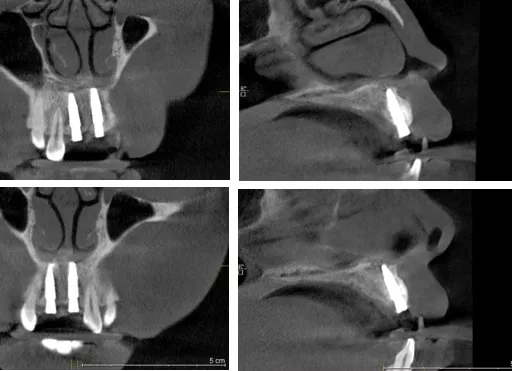
·      #11根中至根尖1/3折裂,桩核无断裂影像。根长7-8mm。根方牙槽骨偏腭侧埋伏近远中向多生牙。

·      #21腭侧根中/3折裂,牙周膜增宽,桩核无断裂影像。根长7-8mm,冠根比不足。

主要诊断

·      #11#21根折

·      #11#21慢性根尖炎

·      埋伏阻生多生牙

术前评估

·      美学分析

风险评估

·     方案一:即刻种植,延期修复。

·     方案二:术区植骨位点保存,延期种植修复。

·     方案三:冠桥修复。

·     治疗分析:冠桥修复将会带给患者一定的不可逆损害并且远期功能和美学效果均不佳,即刻种植方案受到根方埋伏牙影响,将存在腭侧骨缺损,同时颊侧骨壁不完整使此方案风险较高不具备优势。经过与患者的沟通讲解,医患均认同治疗方案二。

临床程序

·      口腔卫生宣教

·      全口牙周洁治

·      拔除#11#21,位点保存。

·      6个月后,延期种植。

·      3个月后临时修复牙龈塑形。

·      软组织形态稳定穿龈袖口良好后最终修复。

·      维护口腔卫生,定检。

牙周治疗

·      口腔健康卫生指导宣教。

·      全口洁治,控制菌斑。

牙槽外科阶段

·      患者充分知情同意治疗过程、术中术后注意事项、并发症、术后反应。签署同意书。

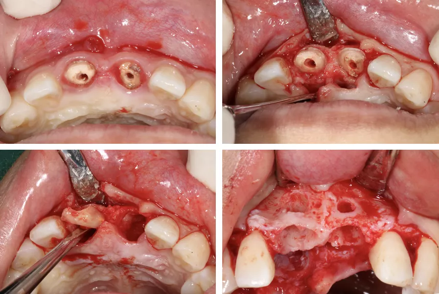
·      口内外消毒铺巾后,常规局麻下翻瓣,拔除患牙#11#21残根。

·      唇腭侧翻瓣显露牙槽骨壁。清整骨面后腭侧开窗,去除阻生埋伏多生牙。

·      采集自体血混合bio-oss骨粉0.75g植骨盖膜。

术后影像学检查

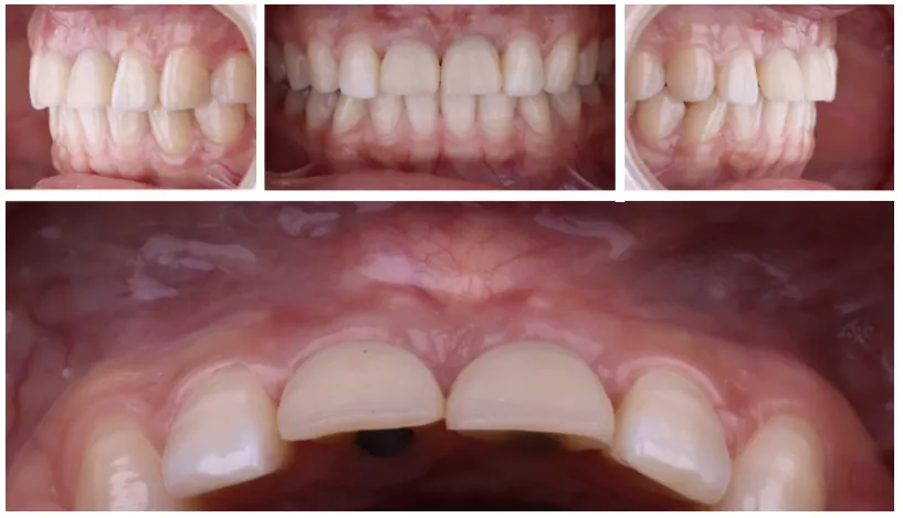
制作粘接固位临时修复体,基底部悬空。

种植一期手术

·      因疫情和工作变动,患者时隔一年复诊。

·      可见术区软组织健康,牙槽嵴丰满度、高度良好。瘢痕暂未消退。

·      计划术区沿牙槽嵴顶做直线切口,翻瓣计划植入Straumann BLT 3.3*12mm各一枚。分别上3.6*5愈合基台。

术后影像学检查

制作种植支持式临时修复体

·      植体植入三个月后,制作临时修复体,穿龈塑形。

定期检查,评估植体及牙龈情况

·     佩戴两个月后复查。

·     检查唇齿关系。

·     DSD。

制取印模,制作最终修复体

·      个性化印模杆制取穿龈形态,制作最终修复体。

修复体试戴及粘接

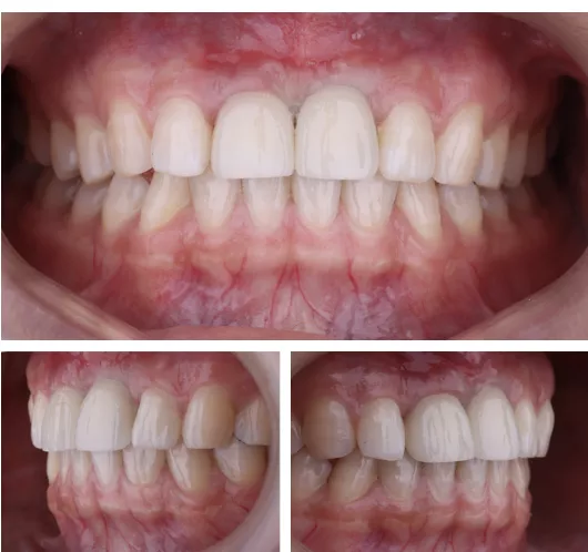
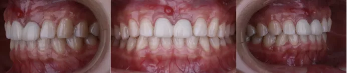
半年后复查

种植体的选择

讨论:采用较细直径种植体进行前牙种植可以确保唇侧足够的骨厚度,同时钛锆合金的材质能确保小直径植体的强度。

·       患者在历经一年多的前牙种植修复治疗后,得到了总体较好的功能修复和美观效果。病历总体达到了预期的治疗效果,患者较为满意。

·       稍显不足的是在患者佩戴了最终修复体后,龈缘高度的对称性还存在一些偏差。并且右侧袖口相比左侧的效果稍显不足。由于患者在治疗期间由于工作变动和疫情的因素,临时牙佩戴时间较长发生了几次断裂,损伤了穿龈袖口部软组织并且影响了牙龈塑形,可能是导致最终效果稍有偏差的主要因素。随之进行额外的软组织手术将卵圆形牙齿变为方圆也许会获得更加的红白美学效果。

·       病例中如果在外科阶段前就加入数字化治疗程序通过如Straumann CARES等手段让外科设计-手术实施-一体修复之间衔接更紧密环节过渡更流畅后,或许就可以在提高修复质量的同时也避免了临时义齿折断所带来的不确定因素。

·       最后,病历完成时间较短,后续的粉色美学效果理应会有所改善,期待后续定检。

·       副主任医师

·       苏州市口腔医学会种植专委会副主委

·       苏州市口腔医学会常务理事

·       牙博士集团医疗管理中心医疗管理部总监

·       苏州固锐德种植美学中心临床技术顾问

·       华人美学牙科学会常务理事

·       江苏省口腔医学会种植专委会委员

·       数字化产业分会委员

·       白研会口腔医学会理事

*参考文献*

[1]Araujo MG, Wennstrom JL, Lindhe J.Modeling of the buccal and lingual bone walls of fresh extraction sites following implant installation [J].Clinical oral implants research,2006,17(6):606-614. 

[2]Caneva M,Salata LA,de Souza SS,et al. Hard tissue formation adjacent to implants of various size and configuration immediately placed into extraction sockets: an experimental study in dogs[J].Clinical oral implants research,2010,21(9): 885-890.

[3]Covani U, Cornelini R, Calvo-Guirado JL,et al.Bone remodeling around implants placed in fresh extraction sockets [J].The International journal of periodontics & restorative dentistry,2010,30(6):601-607.