【病例分享】数字化全程引导下单颗前牙种植修复

前 言

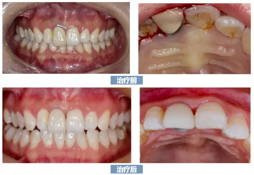
本病例为一例数字化引导下单颗前牙种植修复,患者11牙烤瓷修复体,长期瘘管。患者希望通过种植义齿获得更好的美观效果和功能,并希望减少缺牙期。患者唇舌侧骨板破坏,非即刻修复适应症。术前以修复为导向,复制对侧同名牙进行软硬组织管理方案的设计,采用GBR骨增量后种植手术分阶段治疗方案,最大限度地恢复硬组织轮廓,优化预后效果。骨增量手术中利用拔牙同期唇侧GBR+舌侧改良Ice Cream技术最大限度隔离炎症、保留剩余骨量。种植一期手术使用士卓曼360数字化解决方案保证种植方案与治疗实施的一致性,同时利用腭侧半厚瓣唇侧卷入技术增量软组织轮廓。患者对整个治疗流程及修复效果满意。

优秀病例,与您分享!

患者概况

·      患者年龄:25岁

·      患者性别:女性

·      患者主诉:烤瓷牙反复起包半年

·      治疗周期:9个月

·      现有系统性疾病(如骨质疏松、糖尿病等):全身健康状况良好

·      口内检查

·      患者口腔卫生良好,为中覆合覆盖,牙龈为中厚龈生物型;   

·      11牙烤瓷修复体,松动度II°,叩痛(+);

·      11牙舌侧硬腭区瘘管,触痛(+),探针出血,有少量溢脓;  

·      11、21牙龈缘基本对称,11龈缘黑染。

口外检查

·      患者颜面对称,中线对齐,中低位笑线;   

·      患者颞下颌关节无疼痛弹响;

·      开口度正常,达三指。

·      影像学检查

·      11牙根管内高密度影,根尖周低密度影;

·      11根尖炎症波及唇舌侧骨板,唇侧骨板根方穿通,舌侧骨板基底处穿通;    

·      邻牙未见明显异常。

·      翻转21牙作为11牙理想修复体,获取11牙理想龈缘位置。

·      平移21牙釉牙骨质界至11牙,于CEJ下3mm处放置种植体。

·      Straumann® 骨水平锥柱状 (BLT) 种植体3.3mm*12mm;

·      GBR使用骨粉及胶原膜。

治疗目标

·      以修复为导向,合理进行软硬组织管理,减少缺牙期,恢复患者的功能与美观。

治疗计划

第一阶段:拔除患牙+水平向骨增量

·      微创拔除11牙,保存唇侧骨壁。

·      彻底清除炎症组织,舌侧行改良“冰淇淋蛋卷技术”,双层屏障膜隔离炎症。

·      唇侧水平向引导骨再生,水平褥式缝合固定胶原膜,无张力关闭创口。

·      术后CBCT显示拔牙窝内骨充填材料饱满。

·      粘接临时牙引导软硬组织充分愈合。

·      GBR半年后复查CBCT,显示垂直及水平向骨量充足,骨弓轮廓基本无塌陷。

垂直、水平向骨量充足(备注:影像上的修复体信息为口内参照邻牙修改后的理想临时修复体)

颊侧水平向骨弓轮廓基本无塌陷,维持较好的牙根形态

第二阶段:种植手术设计

·      参照邻牙,在原临时牙上修改形态及调整咬合后拍摄CBCT获取修复体及骨信息。取下临时修复体口扫获取软组织信息,拟合软硬组织及修复体信息设计种植方案。

·      360全程数字化:全程数字化外科导板+即刻临时义齿。

第三阶段:全程数字化引导下的手术实施

·      全程数字化手术导板引导下的种植手术。

·      术后CBCT显示种植体方向位置良好,唇舌侧骨壁完整。

·      术后pick up即刻修复。

·      术后CBCT显示种植体方向位置良好,唇舌侧骨壁完整。

·      即刻修复3m复查。

·      个性化取模,复制穿龈形态。

·      最终戴牙。

·      本病例全程以修复为导向,复制对侧同名牙指导手术及软硬组织增量方案决策,6月后再次复制21牙,口内堆塑临时冠,获取理想修复体信息,节约成本,减少创伤;

·      利用拔牙同期唇侧GBR+舌侧改良Ice Cream技术最大限度隔离炎症、保留剩余骨量,种植一期手术使用士卓曼360数字化解决方案保证种植方案与治疗实施的一致性,同时利用腭侧半厚瓣唇侧卷入技术增量软组织轮廓;

·      士卓曼360数字化解决方案保证种植方案与治疗实施的一致性。即刻恢复患者美观与功能。  

·      国家公派美国Texas A&M大学牙学院(原贝勒牙学院)及四川大学华西口腔医学院联合培养博士;

·      曾先后留学于加拿大、美国及意大利,现为四川省种植专业委员会青年委员,四川省牙周专业委员会青年委员,中华口腔医学会口腔种植专委会、国际口腔种植学会(ITI)及国际牙科研究协会(IADR)会员;

·      主持国际ITI研究基金、国家自然科学青年基金、中国博士后科学基金及四川大学博士后基金共4项,发表学术论文30余篇,副主编中文著作1部,参编中英文著作3部,获国际发明专利1项。

 

感谢  

感谢刘雨婷医生对病例的收集及整理,感谢刘雨婷医生、张丹婷医生和陈嘉彬医生参与本病例的完成,感谢杨胜涛技师和甘愿产品经理在数字化设计中的工作付出,感谢家鸿~思迈尔工作室对修复体的设计和制作。

 

参考内容

1. Jung RE, Ioannidis A, Hämmerle CHF, Thoma DS. Alveolar ridge preservation in the esthetic zone. Periodontol 2000. 2018 Jun;77(1):165-175. 

2. Chiapasco, M. and P. Casentini, Horizontal bone-augmentation procedures in implant dentistry: prosthetically guided regeneration. Periodontol 2000, 2018. 77(1): p. 213-240.

3. Analysis of buccolingual dimensional changes of the extraction socket using the "ice cream cone" flapless grafting technique.  2014.

4. A simplified socket classification and repair technique. Pract Proced Aesthet Dent, 2007.