【病例分享】牙周炎致上颌前牙区垂直骨高度不足的种植修复一例

前 言

牙周炎会导致天然牙周围牙槽骨的广泛吸收,严重者甚至导致牙齿的松动、脱落。上颌前牙区因严重的牙周炎导致的垂直骨高度不足,若不进行骨增量术,即使剩余骨高度可以保证种植体的植入,也会因后期修复的冠根比不协调,影响美学效果。进行垂直骨增量的方法有同期GBR、分阶段GBR、分阶段自体骨移植等,临床医生可根据患者的具体情况进行分析及设计。

本病例因牙周炎导致上颌前牙无法保留,拔牙创愈合后存在较为严重的垂直骨高度不足,取颏部自体骨增加垂直骨高度后,延期植入种植体,最终取得了良好的美学和功能效果。

患者情况

·      患者年龄:32岁

·      患者性别:女

·      主诉:该患者为牙周科转诊。正在接受系统牙周治疗,因前牙松动及伸长,需拔除,要求种植科协同治疗

·      既往史:否认系统性疾病

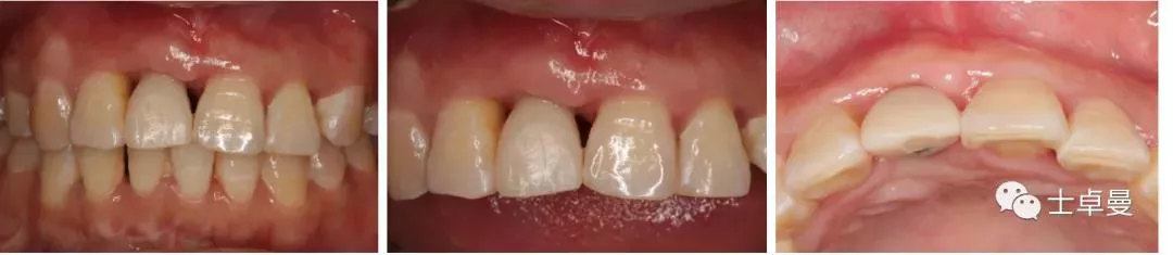
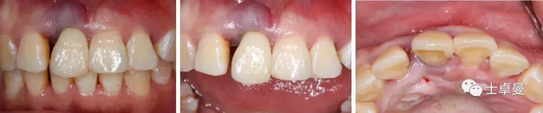
·      ▷ 就诊时检查口内检查

·      11伸长,牙龈呈紫红色,BOP(+),松(Ⅲ);

·      12松(Ⅰ-Ⅱ),21松(Ⅰ-Ⅱ),22松(Ⅱ);

·      牙龈未见明显炎症,余留牙未见异常;

·      咬合正常,低位笑线,中厚龈生物型;

·      牙周系统治疗中,全口卫生状况可,无明显结石,可见少量软垢。

处理

拔除患牙,彻底搔刮拔牙窝,置入Teraplug胶原,牙周治疗期间待软组织炎症消除,拔牙创愈合,牙周治疗结束后再行骨增量术。

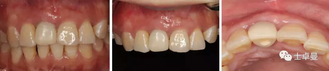
▷ 种植牙前检查(牙周系统治疗3个月后)口内检查

·      11缺失,拔牙创愈合良好,12松(Ⅰ-Ⅱ),21松(Ⅰ-Ⅱ),22松(Ⅱ),余留牙未见异常;

·      咬合正常,低位笑线,中厚龈生物型;

·      全口卫生状况良好,无牙结石。

影像学检查

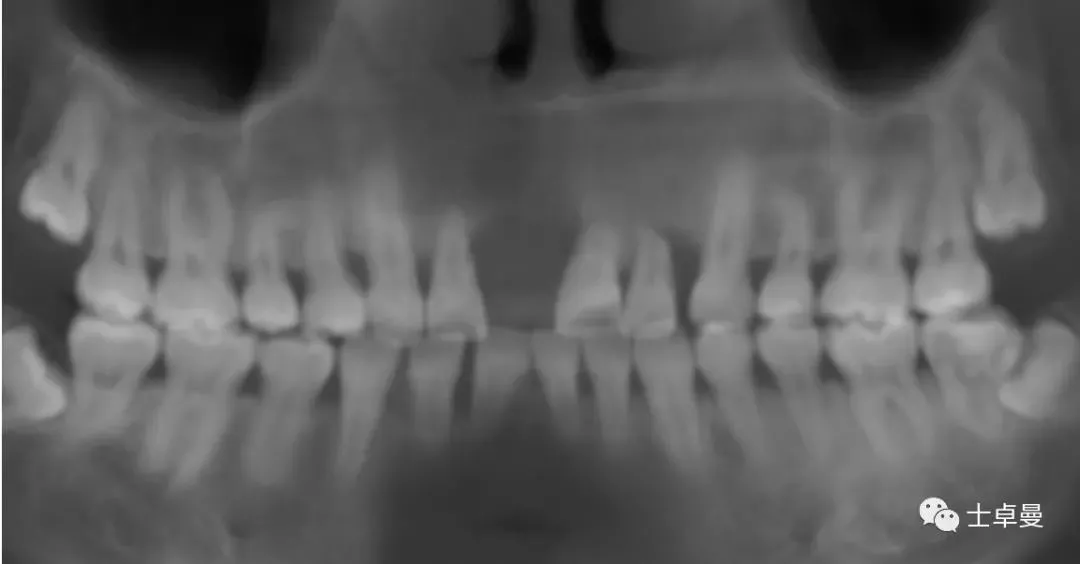
·      CBCT显示11可用骨高度13.3mm,宽度6.9mm;

·      12近中牙槽嵴吸收至根尖1/3处,远中牙槽嵴吸收至根1/2处;

·      21可见根吸收影相,近中牙槽嵴吸收至根尖1/3处;

·      22牙槽嵴近中吸收至根1/3处,远中吸收至根尖。

·       使用SAC工具评估该患者属于美学中风险,告知患者12、21、22牙槽嵴均有明显吸收,且12松(Ⅰ-Ⅱ),21松(Ⅰ-Ⅱ),22松(Ⅱ);

·       根据口腔种植临床指南中对垂直骨增量方案的描述,缺牙区骨增量的效果与邻牙牙槽嵴高度及邻牙牙周状况有关,如仅进行11区的垂直骨增量,后期修复效果可能不佳,但患者考虑后要求仅对11进行种植修复,并同意行颏部自体骨移植+延期种植修复的方案。

·       颏部取自体骨块,移植至11处,行垂直骨增量术;

·       9个月后进行11种植体植入术+GBR术;

·       6个月后行二期手术,术后进行种植体支持的临时义齿修复,进行软组织塑形;

·       3-6个月后个性化取模制作最终修复体。

颏部取骨手术过程

·      测量血压,复方氯己定漱口液漱口1min,阿替卡因局部麻醉,口内外消毒后铺巾;

·      11处行牙槽嵴顶偏腭侧水平切口,单侧垂直切口位于13远中,21、22处行沟内切口;

·      翻全厚瓣后,测量11垂直骨缺损大小;

·      局麻下在31、32、41、42膜龈联合下方做水平切口,翻全厚瓣,在正中联合右侧,距离牙根5mm处切取大小为8mmⅹ6mm骨块,取骨区填入0.25克骨替代材料去蛋白小牛骨,表面覆盖生物膜,缝合切口;

·      用小球钻在受区皮质骨上制备滋养孔,将骨块置于11牙槽嵴顶部,9mm钛钉将骨块牢固固定;

·      在骨块与基骨的间隙处填入0.25克骨替代材料小牛骨,表面覆盖双层生物膜,行骨膜减张术,严密缝合切口;

·      11处切开翻瓣,测量骨缺损大小,在颏部切取相应大小的皮质骨块;

·      将颏部所取骨块用钛钉牢固固定于受区,并在该区域充填0.25克骨替代材料小牛骨,表面覆盖双层生物膜,行骨膜减张术,严密缝合切口;

·      将颏部所取骨块用钛钉牢固固定于受区,并在该区域充填0.25克骨替代材料小牛骨,表面覆盖双层生物膜,行骨膜减张术,严密缝合切口;

种植体植入术+同期GBR术

·      11处切开翻瓣,沟内切口延伸至13及22远中,预备种植窝洞,植入种植体,行GBR术,利用愈合基台固定生物膜,严密缝合切口。

二期术前口内照及CBCT

种植体植入后6个月

·      安装临时修复体;

·      临时修复体安装2个月后调整穿龈形态及邻面接触点位置;

·      临时修复体安装6个月后,牙龈形态良好,唇侧软组织稳定;

·      个性化取模;

·      最终修复;

·      最终修复CBCT。

本病例利用颏部的自体骨块修复前牙区垂直骨缺损,以确保能在理想的位点进行种植体的植入,从而获得良好的美学及功能效果。

口腔颌面外科学博士

l  武汉大学口腔医院口腔种植科副主任医师;

l  中华口腔医学会口腔种植专业委员会委员;

l  中华口腔医学会激光治疗专业委员会委员;

l  湖北省种植专委会秘书;

l  《临床牙科种植学及其相关研究》中文版编委。

 

*参考文献*

1.L.Cordaro, H. Terheyden. Ridge Augmentation Procedures in Implant Patients: A Staged Approach. Berlin: Quintessence Publishing Co. Ltd, 2014

2.Andreas Sakkas, Frank Wilde, Marcus Heufelder, et al. Autogenous bone grafts in oral implantology-is it still a "gold standard"? A consecutive review of 279 patients with 456 clinical procedures. Int J Implant Dent. 2017; 3(1):23

3.Suraj Chavda, Liran Levin. Human Studies of Vertical and Horizontal Alveolar Ridge Augmentation Comparing Different Types of Bone Graft Materials: A Systematic Review. J Oral Implantol. 2018; 44(1):74-84

4.Troeltzsch M, Troeltzsch M, Kauffmann P, et al. Clinical efficacy of grafting materials in alveolar ridge augmentation: A systematic review. J Craniomaxillofac Surg. 2016; 44(10):1618-1629

5.Kuchler U, von Arx T. Horizontal ridge augmentation in conjunction with or prior to implant placement in the anterior maxilla: a systematic review. Int J Oral Maxillofac Implants. 2014; 29 Suppl:14-24

6.Simon Storgård Jensen, Hendrik Terheyden. Bone augmentation procedures in localized defects in the alveolar ridge: clinical results with different bone grafts and bone-substitute materials. Int J Oral Maxillofac Implants. 2009; 24: 218-36

7.Caroliene M Me, Gerry M R, Leo Meijndert. et al. Single implants in the aesthetic region preceded by local ridge augmentation; a 10-year randomized controlled trial. Clin Oral Implants Res. 2017; 28(4):388-395

8.Draenert FG, Kämmerer PW, Berthold M, et al. Complications with allogeneic, cancellous bone blocks in vertical alveolar ridge augmentation: prospective clinical case study and review of the literature. Oral Surg Oral Med Oral Pathol Oral Radiol. 2016; 122(2):e31-43