前 言
本病例通过数字化诊疗手段对重度牙周炎患者进行种植方案制定,并应用分阶段固位钉导板完成全程引导下的全口种植手术,术后进行即刻修复。最终,利用原厂CAD/CAM纯钛烤塑桥架完成了满意的种植修复。本病例获得2019年第八次BITC口腔种植大奖赛数字化赛区一等奖。
患者情况
· 患者年龄:40岁
· 患者性别:女
· 主诉:口内多颗牙松动影响咀嚼,要求种植修复
· 现病史:患者五年前开始发现口内牙齿松动,曾行牙周系统治疗,未见明显好转,要求种植修复
· 既往史:既往体健,否认全身系统病史
口内检查
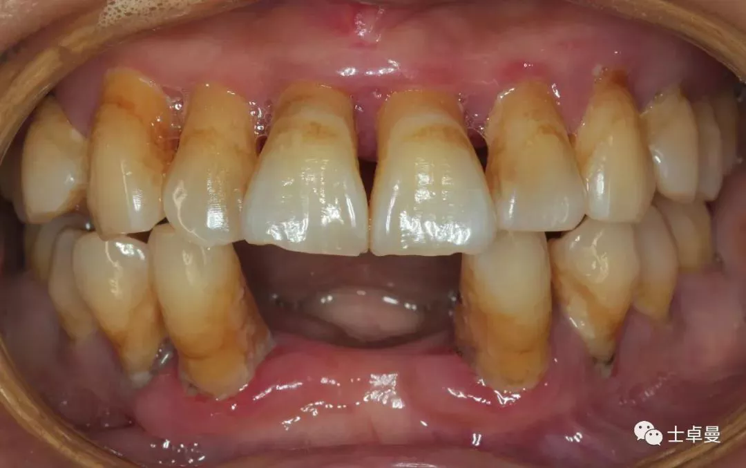
· 临床检查:17、37、32-42、37缺失;
· 前牙区牙齿扇形移位,口腔卫生状况较差;
· 菌斑指数:2;
· 牙石指数:3,色素 (+);
· 牙龈颜色暗红,肿胀,质地松软;
· 口内余留牙松动度II°~III°;
根分叉病变III°~IV°。
口外检查
· 面部基本对称;
· 面下1/3垂直距离尚可;
· 上前牙前突。
影像学检查
· CBCT检查:显示口内余留牙牙槽骨吸收至根尖1/3;
· 上颌双侧后牙区上颌窦底可用骨高度不足;
· 下颌双侧后牙区下颌神经管上方可用骨高度不足。
诊断
· 上下颌牙列缺损;
· 牙周炎Ⅳ期,广泛型,C级。
初步诊疗方案
▷ 方案 1
· 建议13~23牙位试治疗,其余牙拔除后种植修复;
· 上前牙余留牙美观效果不佳,女性患者对美观要求较高,后期酌情正畸修复联合治疗;
· 上颌后牙区需行上颌窦提升术。
▷ 方案 2
· 牙周基础治疗
· 然后拔除口内余留牙,进行全口种植修复
· 患者权衡利弊后选择方案 2:进行全口种植修复。
术前评估
· 种植术前从外科角度和修复角度对患者进行详细的术前评估。
· 在前述术前评估的基础上制定详细的治疗计划;
· 通过面部和口内相的重叠进行数字化微笑设计,以此指导虚拟排牙;
· 最后根据排牙信息和颌骨的骨量确定种植体的位置和型号。
· 制作牙支持固位钉导板,固位钉支持种植导板,以及固位钉辅助就位的临时修复体;
· 以期利用牙支持式导板的高精确性完成全程引导下的种植手术。
上颌种植手术
· 常规消毒碧蓝麻局麻下,利用牙支持式导板确定固位钉位置后取下导板;
· 然后分离牙龈,于牙槽嵴颊腭侧略翻瓣暴露牙根与牙槽骨间隙,切除龈瓣边缘炎性肉芽组织,拔除上颌16-27牙,球钻清理拔牙窝,并用大量生理盐水冲洗;
· 通过先前固位钉位置安放固位钉支持式种植导板,因拔牙前后软硬组织变化较大,需耐心寻找先前固位钉位置;
· 导板就位后利用Straumann BLT全程导板工具盒全程备洞,取下导板后利用测量杆确认种植体窝方向和深度以及种植窝周围骨量;
· 植入6颗Straumann BLT种植体,植入扭矩均达到45Ncm以上:
✓ 16、26:4.1mm×14mm
✓ 14、24:4.1mm×12mm
✓ 12、22:3.3mm×12mm
· 安装SRA基台,均加力至35Ncm:
✓ 16、26:RC30°4mmA型
✓ 14,24:RC17°2.5mmA型
✓ 12,22:NC17°2.5mmA型
· 旋入SRA基台保护帽,修整粘膜,缝合。
下颌种植手术
· 手术操作流程与上颌基本一致,最终植入4颗Straumann BLT种植体,植入扭矩均达到45Ncm以上:
✓ 35、45:4.1mm×14mm
✓ 32、42:3.3mm×12mm
· 安装SRA基台,均加力至35Ncm:
✓ 35、45:RC30°4mmA型
✓ 32、42:NC直型2.5mm
· 旋入SRA基台保护帽,修整粘膜,缝合。
· 手术完成后复查CBCT与术前设计对比,验证植入精度。
· 术后放弃固位钉引导修复体就位,改用传统的pick-up技术口内粘接术前制作的临时修复体;
· 术后2月,种植体完成骨结合,复查CBCT显示种植体周围骨稳定,未见明显边缘骨吸收;
· 取下临时修复体后口内检查,基台周围软组织健康;
· 夹板开窗取印模,面弓转移,复制临时修复体颌位关系后设计CAD/CAM树脂桥;
· CAD/CAM树脂桥戴入口内后获得了满意的微笑曲线及软组织侧貌;
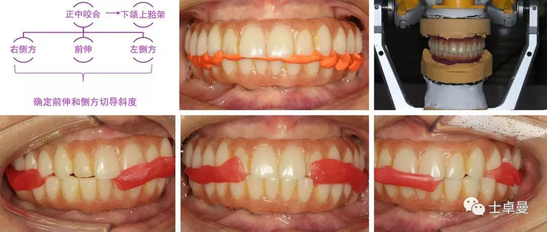
· 通过调𬌗获得了满意的咬合关系,正中咬合时后牙保护前牙:双侧后牙均匀接触,前牙轻接触;
· 前伸及侧方时前牙保护后牙:
✓ 前伸运动:前牙引导
✓ 侧方运动:尖牙引导
· 夹板开窗加个性化托盘取最终印模,灌注石膏模型后在模型上制作石膏夹板,再将石膏夹板戴回口内验证模型精确度;
· 利用第二幅过渡义齿进行面弓转移,并将模型上架;
· 复制临时义齿咬合关系后将下颌模型上并通过复制前伸和侧方运动确定切导斜度;
· 计算机辅助设计最终修复体,回切后设计钛支架形态;
戴牙后对患者进行健康宣教
· 个人日常护理
✓ 桥体及植体邻面:间隙刷+冲牙器
✓ 下颌舌侧及上颌腭侧:弯头牙刷
医院定期维护
· 修复完成后1周、1月、3月、6月复查;
· 后期每隔6月复查,酌情调整咬合及种周维护。
· 重度牙周炎患者由于牙齿的松动和脱落,常常影响患者的咀嚼功能及美观,严重影响患者的生活质量。牙周炎位点拔牙后即刻种植已经得到了动物试验和临床研究的证实,但是关于此类种植修复患者的全程数字化解决方案报道较少;
· 本病例应用了完善的术前的数字化诊疗方案设计,包括数字化微笑设计 (DSD),数字化虚拟排牙,在导板软件中精确设计种植体的方向和位置,3D打印数字化导板等等;
· 在种植之后的修复程序中,应用软件设计修复体形态,并最终制作原厂切削钛支架烤塑修复体,完成了种植修复,并且印证了术前的设计方案;
· 基本实现了牙周炎患者即刻种植即刻修复的数字化流程,相信在不久的将来,随着面部轮廓扫描、口扫取模、电子面弓和𬌗架等技术的应用,该流程会更加完善。
医齿学博士
天津市口腔医院 (南开大学口腔医院) 副院长
教授、主任医师、研究生导师
· 中华口腔医学会口腔种植专委会常务委员;
· 天津市口腔医学会口腔种植专业委员会主任委员;
· 国际口腔种植学会专家组委员;
· 国际牙医师学院 (ICD) 院士;
· 天津市口腔医学会常务理事;
· 《CIDRR》杂志中文版特邀编委;
· 《JOMI》杂志中文版编委;
· 主编《数字化口腔种植外科技术》;
· 主译《口腔种植临床问题解决方案》,《口腔种植自体骨移植基础与要点》。
医师,硕士
毕业于南开大学医学院,师从张健教授
· 现就职于天津市口腔医院(南开大学口腔医院)种植科;
· 获得2019年第八次BITC口腔种植大奖赛数字化赛区一等奖;
· 擅长种植修复的数字化诊疗及方案设计,熟练掌握常规种植外科技术、软硬组织增量技术及种植上部修复。
文献参考:
1. Li Sha,Di Ping,Zhang Yu et al. Immediate implant and rehabilitation based on All-on-4 concept in patients with generalized aggressive periodontitis: A medium-term prospective study.[J] .Clin Implant Dent Relat Res, 2017, 19: 559-571.
2. Tonetti MS, Greenwell H,Kornman KS. Staging and grading of periodontitis:Framework and proposal of a new classification and case definition. J Periodontol. 2018;89(Suppl 1):S159–S172.
3. Misch, Carl E.Dental implant prosthetics—Second edition. Elsevier Inc.2014
4. Lee Jungwon,Kim Sungtae,Koo Ki-Tae et al. Histologic Analyses of Immediate Implant Placement in Infected and Noninfected Sockets: An Experimental Pilot Study in Beagle Dogs.[J] .Int J Oral Maxillofac Implants, 2019, 34: 575–584.