【病例分享】应用士卓曼360数字化序列导板+预成临时修复体,辅助全牙弓即刻种植即刻修复一例
前 言
本病例为年轻女性患者,由于口内多牙缺失、多牙松动伴上颌前突多年,寻求治疗方案。通过检查诊断为牙列缺损、重度牙周炎、上颌前突、骨性二类错合畸形,具有上颌骨及上下牙前突、正侧貌美学不佳的临床特点,传统治疗方案,无法预测患者的预期治疗效果,因此采用多种数字化的手段,包括DSD微笑设计、Dolphin Imaging软件进行正侧貌美学预告、士卓曼360数字化序列导板的全方位解决方案,确保此复杂病例最终获得了一个满意的效果。
优秀病例,与您分享!

患者概况
· 患者包某,女性,38岁;
· 患者多年前因牙齿松动,拔除部分牙齿,曾行牙周基础治疗,因影响咀嚼及美观,要求种植修复;
· 既往史:既往体健,否认全身系统病史。
口内检查

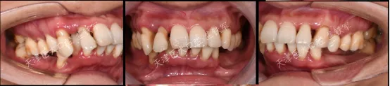
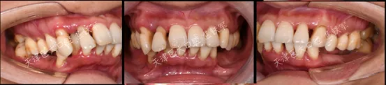
· 下颌多颗后牙缺失 ,上下前牙成扇形排列,余留牙除上中切牙 1度松动外,其余牙均2-3度松动。
口外检查
正貌美学评估:
· 面部对称、三等分,面中线与中切牙中线不一致,高位笑线,上下唇无法自然闭合。
侧貌美学评估:
· 上唇丰满度:过度,鼻唇角80 °(鼻唇角正常范围:90 °-105 °),上下唇超出美学E线,凸面型;
· 颞下颌关节:无肌肉压痛,张口偏斜等阳性体征。

影像学检查
· 缺牙区骨量尚可,余留牙骨吸收至根尖1/3 。

· 双侧髁突骨皮质连续。

· 头影测量分析,临床诊断为:上颌前突,骨性二类错合畸形,上下中切牙及上下唇前突。



· 根据患者诉求、面型、剩余骨量、余留牙状况,拟拔除全部余留牙行全口种植固定修复。

· 上下颌计划各植入六颗straumann钛锆种植体行即刻种植即刻修复。
治疗难点包括:
1) 美学重建的难点:正侧貌美学预告及上前牙三维位置的确定;
2) 种植外科的难点:种植位点的设计,重度牙周炎患者如何在即刻种植即刻修复中应用数字化导板以及术中如何精确去骨;
3)功能重建的难点:如何复制颌位关系,如何数字化精准印模制取。

· 手术过程采用士卓曼360数字化序列导板
· 预成临时修复体
· 种植体选择straumann钛锆种植体(BLT&BL)

1)治疗目标
采用士卓曼360数字化序列导板+预成临时修复体,辅助即刻种植即刻修复,恢复患者的咀嚼功能及美观,改善患者的面下三分之一正侧貌美学,获得一个长期稳定的治疗效果。
2)治疗计划
· 首先,应用DSD微笑设计完成正貌美学预告。

· 然后,进行侧面美学预告。

· 侧貌美学预告后,确定了上前牙矢状面前后向的位置关系,中切牙在矢状面上的位置变化:将唇倾的上前牙直立,上中切牙角度减小12度,切端内收8mm。

· 根据正侧貌美学预告,确定了咬合重建最重要的起点,上中切牙三维位置 ,𬌗面参看(FH平面)眶耳平面,并指导全口数字化排牙。

无牙颌固定修复存在美学风险
§ 义龈部分与软组织的边缘线在大笑时位于唇线以下为高分险(HER),应将其置于唇线以上以降低美学风险。患者为高笑线,因此需要截骨,截骨线应位于患者最大笑时唇线以上4mm。

· 制作放射导板,进行数字化导板设计。

· 上下各计划植入6颗种植体。其中14、24种植体倾斜植入,15、25经牙槽嵴顶上颌窦提升植骨,其余牙位无需植骨。

种植体位置设计,可见上前牙唇侧骨量过丰满,需适量去骨。同时上下颌均需要截骨处理。
· 上下颌士卓曼360数字化导板 +预成临时修复体设计图。

· 士卓曼360导板包括:骨支持的基部导板 、牙支持的辅助导板 、就位于基部导板的种植导板 以及就位于基部导板的预成临时修复体组成。
· 上下颌计划行即刻种植,各植入六颗straumann钛锆种植体并行即刻修复。
· 最终修复体采用士卓曼原厂切削纯钛桥架+氧化锆整体桥。

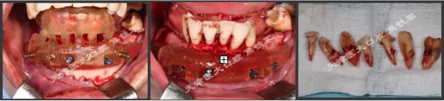
下颌即刻种植即刻修复手术过程
· 下颌士卓曼360数字化序列导板+预成临时修复体

· 翻瓣,利用松牙固定后的余留牙支持连接在一起的牙支持导板和基部导板,使骨支持的基部导板就位于骨面。

· 并用固位钉固定,拆除牙支持式导板,拔除余留牙。

· 基部导板上缘做为截骨线,精确去骨,平整骨面。


· 全程植入导板就位于基部导板上,固位钉固定,引导种植体植入。
· 种植体植入后,安装复合基台基底
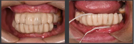
· 临时修复体就位于基部导板,固位钉固定,口内Pick-up后取下修改,戴回口内,咬合关系良好。

上颌即刻种植即刻修复手术过程
· 上颌360数字化序列导板+预成临时修复体

· 拔除部分牙齿,翻瓣,利用剩余牙齿支持组合导板,辅助基部导板就位固定,基部导板上缘做为去骨线,精确去骨。

· 拔除部分牙齿,翻瓣,利用剩余牙齿支持组合导板,辅助基部导板就位固定,基部导板上缘做为去骨线,精确去骨。

· 全程导板就位,引导种植体植入,安装复合基台。


· 种植体植入位置偏腭侧,唇侧骨量过于丰满,上颌骨前突,去骨修整骨边缘。

· 口内pick-up 固定临时修复体,患者上下颌咬合关系良好。

· 术后CBCT检查可见种植体植入位置佳,与术前设计一致。


· 修复体戴入后髁突位于关节窝内的适中位置。

· 植入精度分析,误差较小。

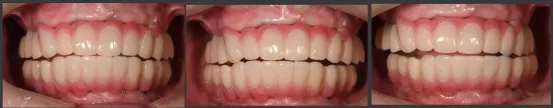
即刻修复后患者的正侧貌美学评估:

正貌美学评估:
· 面部对称、三等分,面中线与中切牙中线一致,上下唇可自然闭合。
· 侧貌美学评估:
· 上唇丰满度:适中,鼻唇角105°,上下唇位于美学E线,直面型。

· 预告面型及修复后与修复前对比,患者的正侧貌美学得到了极大的改善,凸面型变为直面型。


· 第一幅临时修复体戴入4个月后,种植体周围软组织健康,15.25行种植二期手术。

· 口扫获取种植体周围软组织及咬合关系信息。

· 数字化设计第二幅临时修复体,PMM切削,上下颌各修复12个单位的修复体,16.26单端桥设计

· 第二幅临时修复体戴入口内,修复效果良好,前伸侧方咬合无干扰,预留清洁通道。

· X线片显示,种植体周骨稳定性、关节髁突位置评估均无异常。

· 应用电子面弓,下颌轨迹描记测试结果显示下颌运动较对称,且稳定。

· 临时修复体仓扫后回切设计纯钛桥架。

· 制作士卓曼原厂切削纯钛桥架+氧化锆整体桥+龈瓷。

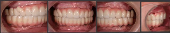
· 修复体红白美学满意,前伸侧方咬合均无干扰,前牙前突问题解决,指导患者清洁。


· 重度牙周炎伴上颌前突患者,通过数字化正侧貌美学预告,指导数字化排牙,预先制作的临时修复体,通过士卓曼360数字化序列导板成功的在术后即刻恢复患者的咬合关系。
· 应用士卓曼360数字化序列导板+预成临时修复体,能够全方位成功辅助重度牙周炎伴上颌前突患者实施即刻种植即刻修复。术后即刻获得可预期的美学和功能效果!

治疗前

治疗后

