【病例分享】上颌侧切牙即刻种植美学修复一例

前 言

患者上颌前牙外伤折断,牙根无法保留,要求种植修复。微创拔除12剩余残根,腭侧壁上定点,先锋钻确认种植体植入位置。植入3.3mm*14mm 士卓曼钛锆合金亲水表面骨水平锥柱状种植体 (BLT) 种植体。临时义齿戴入正中,前伸侧方均无咬合接触。根尖片显示临时基台就位良好,无骨阻挡。CBCT显示种植体三维位置良好。10天后拆线,临时义齿稳定,牙龈愈合良好。临时义齿修复5个月后,个性化取模,个性化基台,口外预粘结,完成修复。术后1年和术后3年CBCT显示种植体唇侧骨板厚度大于2mm,牙冠颜色形态较自然,龈缘高度与邻牙协调,牙龈颜色质地健康,近远中牙龈乳头充盈完好,轮廓美学得到很好的维持。

初诊情况

患者情况

·        患者年龄:23岁   

·        患者性别:女    

·        主诉:上颌前牙外伤折断2日      

·       现病史:上颌前牙外伤折断,已在急诊科将折断部分拔除,牙根无法保留,要求种植修复

·       既往史:自述健康,不吸烟,否认系统疾病及药物过敏史

·       家族史:健康

·       全身状况:健康

口内检查

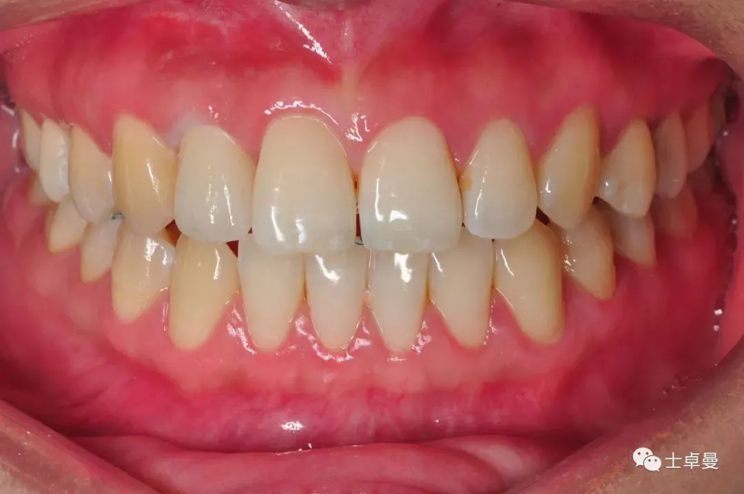
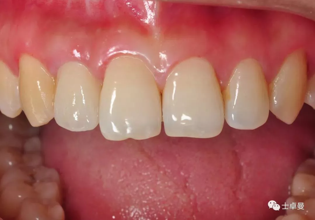
·        12残根,断根位于唇侧位于牙龈下1mm,舌侧斜行折裂至龈下3mm-4mm;

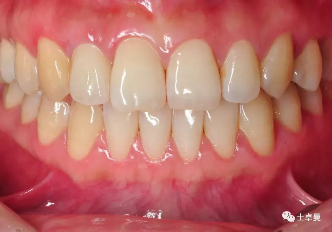
术前口内照

断根舌侧劈裂至龈下3mm-4mm

·        唇侧龈缘曲线完好,与邻牙协调,牙龈质地健康,无炎症,薄龈型;

·        残根不松,叩诊不适; 

·        11、21之间有约1mm-1.5mm缝隙;

·        口内余牙健康,牙周卫生良好;   

·        咬合关系:正常;   

·        患者中线对称,中位笑线,患者面型左右对称,颌面部各部分比例协调,开口度,开口型正常;

术前微笑面相

·        双侧颞下颌关节活动度对称,无压痛,无弹响,颞肌咬肌无压痛。

·        CBCT 检查

·       12 断根,根尖区剩余骨高度充足,可用骨高度19mm,骨宽度7.2mm。

术前根尖区显示12折裂

术前 CBCT

诊断

·       12牙体缺损

美学风险评估

外科手术过程

·       向患者交代病情及修复种类,患者决定种植修复12;

·       术后拟行临时义齿修复或个性化愈合基台;

·       术前复方氯已定漱口水含漱3次,每次3分钟;

·       口周及口内消毒;

·       12局麻下分根,微创拔除12剩余残根;

分根微创拔除残根

·       搔刮清理拔牙窝,可探及根尖区拔牙后唇侧有穿孔;

清理拔牙窝

·       腭侧壁上定点,先锋钻确认种植体植入位置;

偏腭侧定点

·       放置指示杆确定种植体方向,方向无误后,逐级备洞,腭侧骨板部门攻丝,植入3.3mm×14mm士卓曼钛锆合金亲水表面骨水平锥柱状种植体 (BLT) 种植体;

方向杆显示种植体轴向位置

·       初期稳定性大于35NCM,ISQ值73;

·       跳跃间隙大于2mm,跳跃间隙内放置骨粉;

·       根尖穿孔区局部翻瓣,暴露穿孔部位;

根尖穿孔区翻瓣

周围皮质骨增加血运营养孔

偏腭侧植骨种植体

唇侧骨板下1mm

唇侧跳跃间隙大于2mm

·      放置骨粉、骨膜;

根尖区局部植骨

覆盖胶原膜

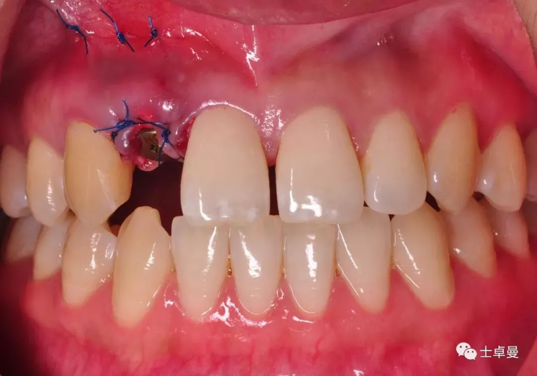
·       缝合;

缝合颌面观

·       橡皮障隔离术区;

术区橡皮障隔离

·       取模,制作临时义齿;

临时义齿完成

·       临时义齿戴入正中,前伸侧方均无咬合接触;

临时义齿口内就位

·        根尖片显示临时基台就位良好,无骨阻挡;

·        CBCT显示种植体三维位置良好;

术后 CBCT 显示种植体三维位置良好

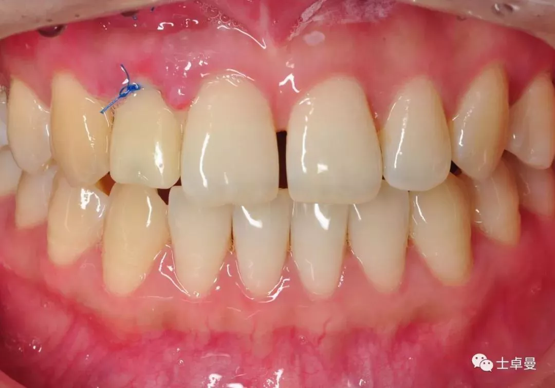
·       10天后拆线,临时义齿稳定,牙龈愈合良好;

·       局部消毒,拆线,冲洗。

拆线时愈合情况

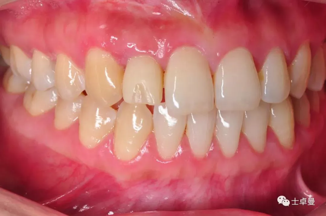
一个月复查

每次复查的根尖片

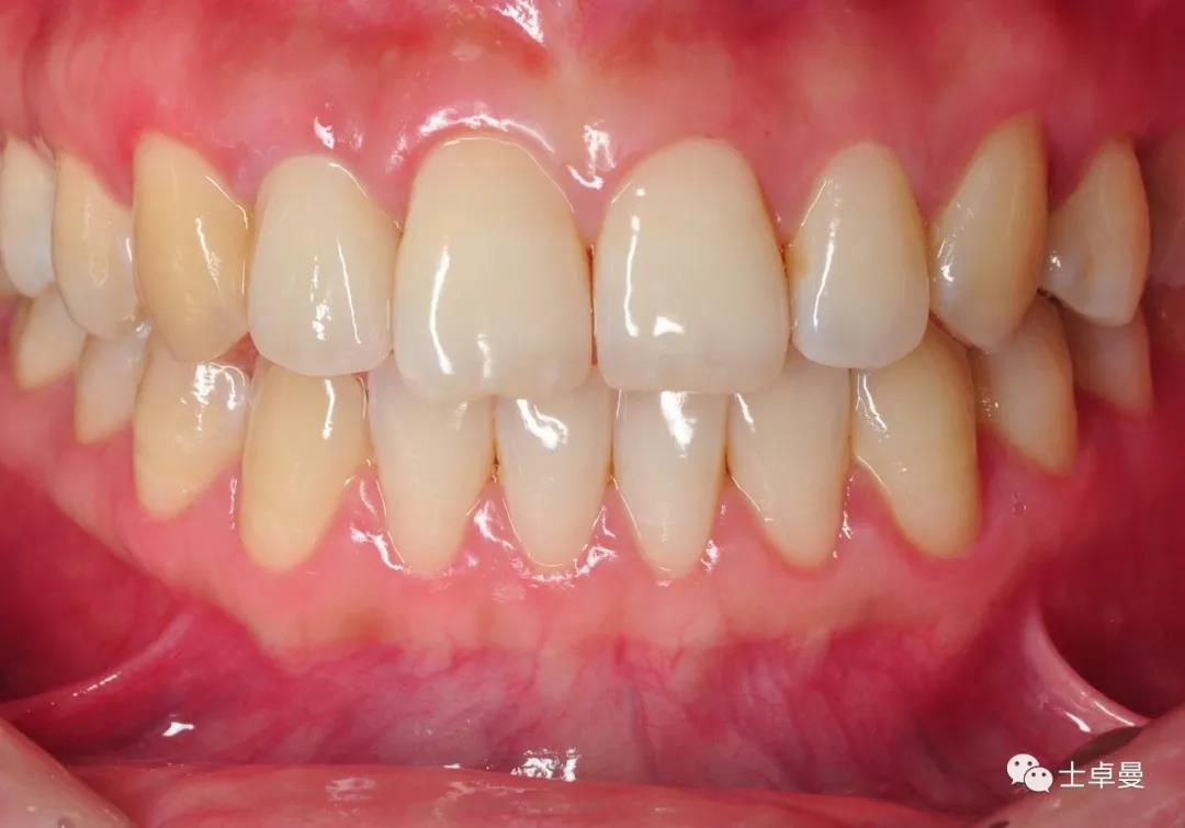
龈缘曲线高度协调一致

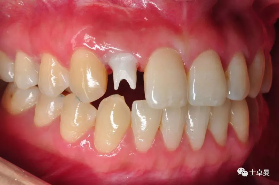
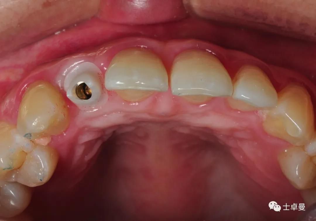
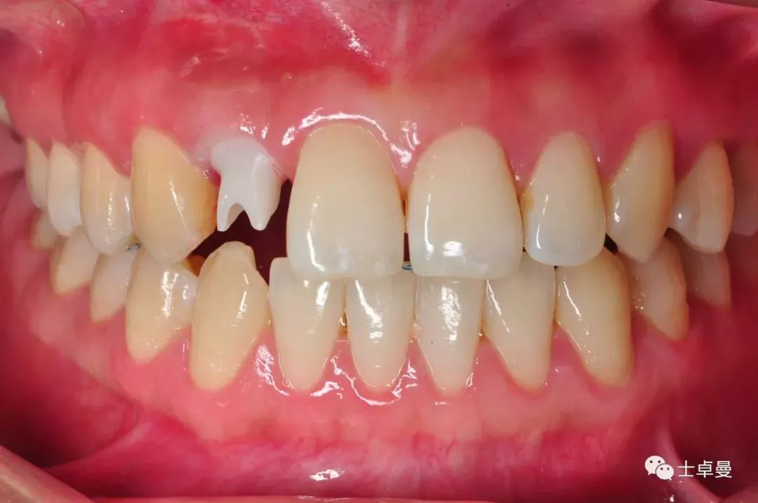
个性化取模

修复操作

修复体制作完成

个性化氧化锆基台

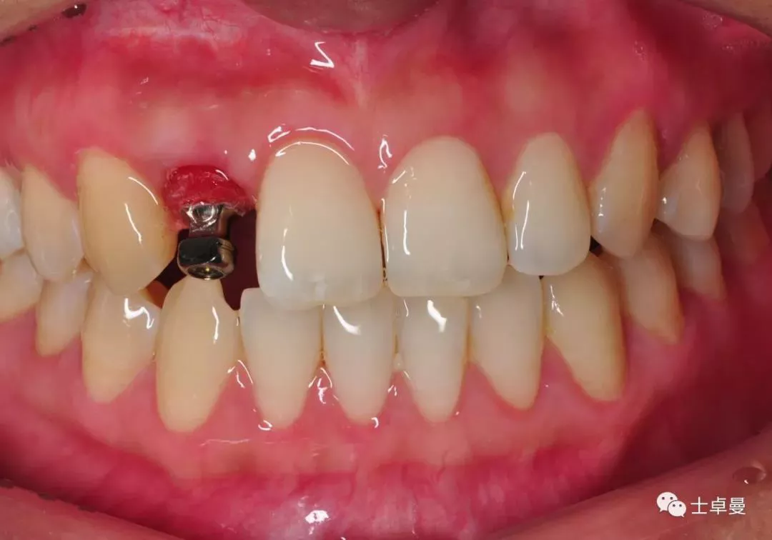
口外预粘结

口内完成修复当日

术后一年的CBCT

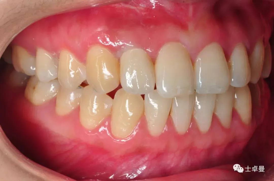
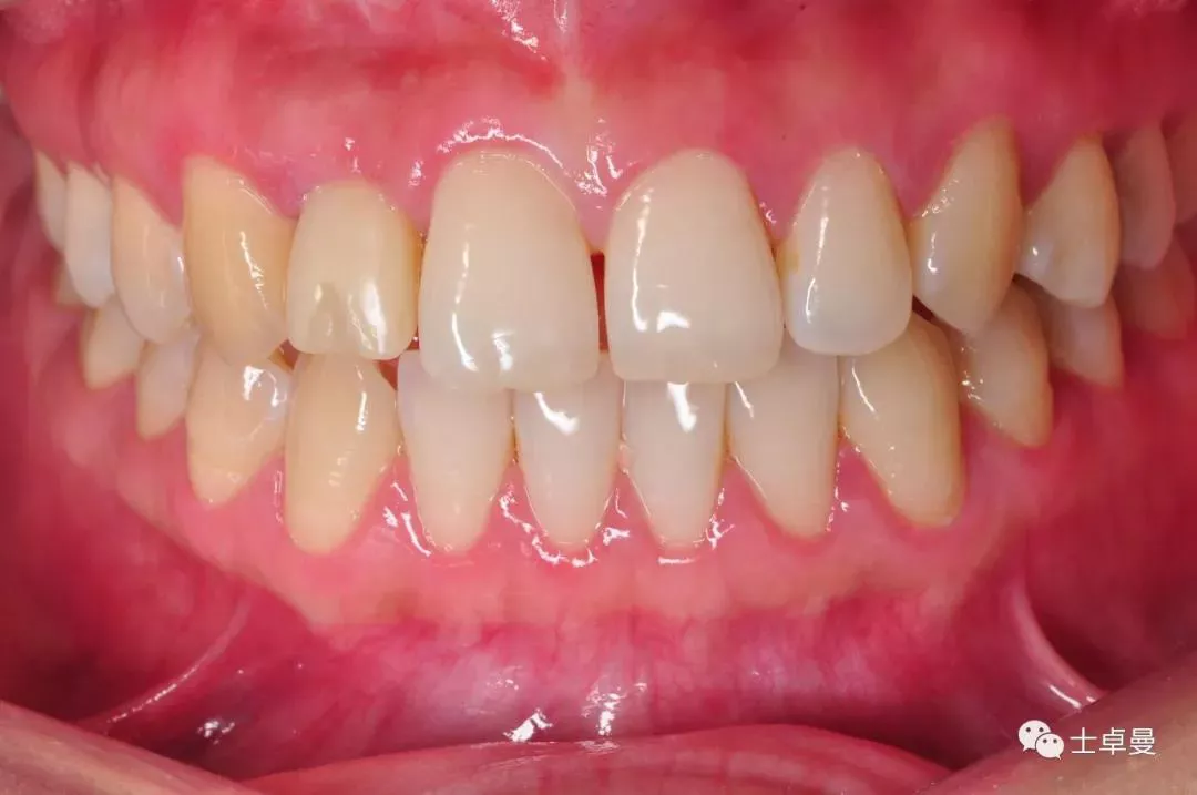
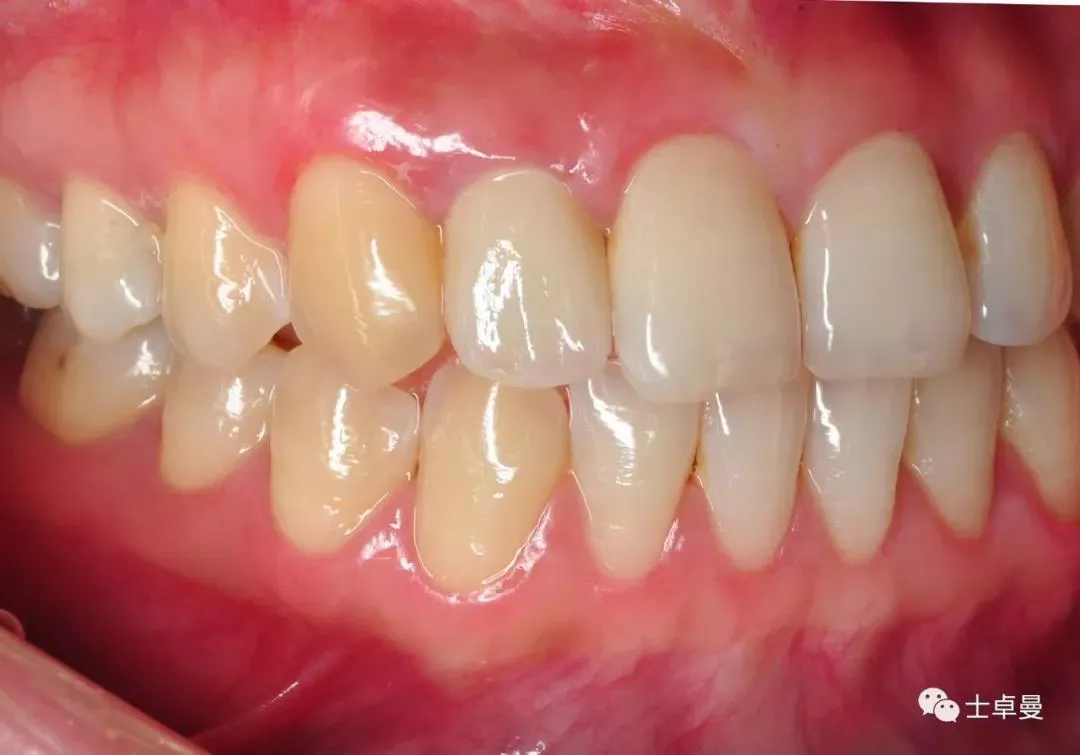
完成修复一年后复查

修复后3年复查

患者微笑照

术后三年的CBCT

不同时期CBCT截图

医生介绍

·       大连市口腔医院口腔种植科副主任医师;

·       毕业于武汉大学口腔医学院,获口腔种植学硕士学位;

·       擅长各类牙缺失的种植修复与数字化技术,十余年口腔种植临床经验;

·       曾多次参加BITC口腔种植比赛获奖,获得全国BITC口腔种植专业美学区比赛二等奖两次。