【名医士角】数字化导板引导下全口种植修复2年随访一例

前 言
对于全口多牙缺失数年,影响功能与美观的情况下。采用个性化方案结合360数字化种植导板的方式,进行种植固定修复。充分利用原有口腔数据进行术前排牙,将排牙信息与修复设计软件结合指导虚拟设计。实现以修复为导向的种植理念。临时义齿同期恢复咬合功能。最终修复以钛支架+烤塑修复体的形式。2年随访,植体稳定且咬合无异常,修复体无崩瓷破损,效果稳定。多元素碰撞最终实现良好美学功能。
优秀病例,与您分享!


患者概况
- 患者年龄:78岁
- 患者性别:女
- 主诉:全口多牙缺失数年,要求种植固定修复
- 现有系统性疾病(如骨质疏松、糖尿病等):无
口内检查
- 口腔卫生较差,21、22、27、31-33、35-37、41-45、47缺失,14金属烤瓷冠修复,16𬌗面汞充填,余牙松动Ⅲ,PD:5-8mm,BOP(+),牙龈萎缩,红肿,上下颌位关系正常,但无稳定的颌位关系。

口内检查上下颌多牙缺失
口外检查
- 面部对称,上唇丰满,张口度 张口型无异常,颞下颌关节及咀嚼肌扪诊阴性,无关节弹响。

影像学检查
- CBCT示:21、22、27、31-33、35-37、41-45、47缺失,余牙牙槽骨吸收至根尖1/3。牙周膜间隙增宽。剩余牙槽骨丰满度一般。

CBCT检查见上下颌骨量

诊断
- 牙列缺损、重性牙周炎。
治疗设计
- 1、牙周基础治疗;
- 2、即刻拔除余留牙;
- 3、种植导板下引导种植,行即刻修复,同期行咬合重建;
- 4、3个月后行最终修复;
- 5、口腔卫生控制,定期口腔健康维护

- Straumann种植系统(Straumann公司,瑞士)
- 11、23、32、42植入ø3.3*12mm NC Straumann BLT种植体 4颗
- 14、24植入ø4.1*10mm RC Straumann BLT种植体2颗
- 16、26植入ø4.1*8mm RC Straumann BLT种植体2颗
- 35、45植入ø4.1*12mm RC Straumann BLT种植体2颗
- 硅橡胶印模材料,全可调式架。

- 依据患者CBCT和口内模型,制作放射导板,患者戴入放射导板,拍摄CBCT,

- 通过士卓曼CoDiagnostix导板软件将口腔软、硬组织数据进行拟合,使用导板软件内的模拟拔牙功能,设计360数字化种植导板并打印成型。

- 局麻下,拔除松动牙,放置手术导板,

- 使用士卓曼原厂工具逐级备孔

- 植入Straumann BLT种植体,放置保护帽

- 术后拍摄CBCT,使用士卓曼CoDiagnostix导板软件内的种植位点评估功能进行术后与术前设计对比,误差较小。


- 使用全可调式𬌗架进行数据位点转移,术后制作临时修复义齿

- 3个月后复查,口腔卫生良好,软组织愈合良好,临时修复体完好,叩(-)。叩诊声音清脆。X线示:种植体周未见明显异常。

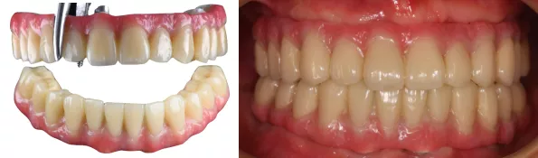
- 精准二次印模,制作纯钛支架+烤塑修复体

- 戴入患者口内,调整咬合。


- 本病例口内缺牙较多,余留牙均松动的情况下。
- 第一:我们采用了仓扫石膏模型的方式以提高获取软组织信息的精确度。
- 第二:术前排牙,并将排牙信息导入到设计软件中,指导种植体的虚拟设计,来实现以修复为导向的种植设计。
- 第三:本病历余留牙均松动三度,无法作为配准参考标志,我们借助个性化放射导板的方式完成CBCT与软组织信息与排牙信息的融合,并据此最终生成精准高的360数字化导板及即刻修复的临时义齿。
- 本病例修复采用纯钛支架+烤塑修复。钛支架有更好的边缘适应性,能够减小支架微移动和细菌微渗漏的发生。同时烤塑重量轻、成本低、易修补,并且弹性模量较低,可吸收咬合力,实现对种植体的保护。