【病例分享】应用盾技术进行即刻种植的思考
前 言
前牙美学区良好的红白美学效果,一直以来都是广大口腔种植修复医生的追求。但是即便使用不翻瓣的微创即刻种植,唇侧骨板依然会不可避免地吸收,带来美学并发症。
本病例采用盾技术,同时应用数字化手段,通过保留待拔患牙牙根唇侧的牙片,保留唇侧的牙周膜及血供,从而保存束状骨,避免因唇侧束状骨骨改建而引起的软硬组织塌陷,取得了较为满意的红白美学效果。
初诊情况
患者情况
· 性别:男
· 年龄:29岁
· 主诉:门牙外伤冠折后2月就诊
· 现病史:2月前患者门牙外伤折断,已于我院牙体牙髓科完成根管治疗,但因断冠粘接反复脱落,正畸会诊后示残根牵引将导致冠根比例失调,效果不佳,要求拔除后行种植义齿修复。
口内检查
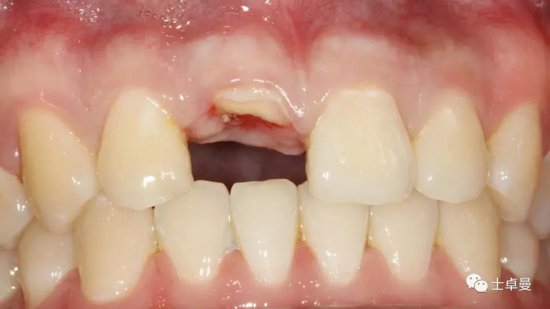
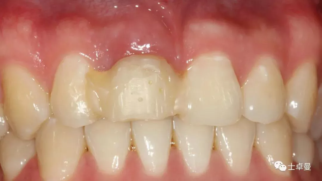
· 11牙冠折断,余留残根;
· 唇侧位于龈上2mm,腭侧达骨下1mm,根管内封药存;
· 探(-),冷 (无反应),叩 (-),松 (-),牙龈可;
· 中位笑线,牙龈生物型为中弧形、中厚龈生物型;
· 其余牙及口腔卫生尚可。
口外检查
· 张口度3指;
· 双侧颞下颌关节区无扪痛,未闻及弹响。




影像学检查,CBCT显示
· 11根管内充填致密,根尖未见明显阴影,根长约12mm;
· 唇侧牙槽骨完整,厚度约1.2mm;
· 根尖区剩余骨量约7mm。
诊断
· 11残根。


手术设计方案
设计方案
· 术前口扫,设计种植修复方案并以修复为导向制作种植外科导板;
· 部分拔除11残根,保留唇侧牙盾片;
· 在外科导板辅助下即刻植入Straumann® Roxolid® SLActive® BLT种植体;
· 条件允许时进行即刻修复。
手术材料
· Straumann® Roxolid® SLActive® BLT 4.1mm×16mm种植体;
· 临时基台;
· 骨粉0.25g,胶原骨100mg。




术前设计规划
治疗计划
治疗目标
· 恢复患者牙列,绽放自信笑容。
治疗计划
· 应用盾技术进行11即刻种植即刻修复。
种植外科手术
一期手术
· 常规消毒、铺巾、阿替卡因肾上腺素局部浸润麻醉;
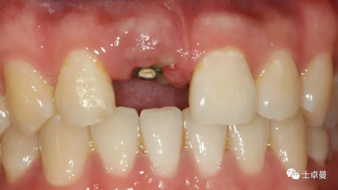
· 分根拔除11后,保留唇侧牙根盾片;
· 逐级扩孔后行种植体植入术;
· 植入Straumann® Roxolid® SLActive® BLT 4.1mm×16mm种植体,扭力15Ncm;
· 唇侧植入骨粉0.25g,胶原骨100mg;
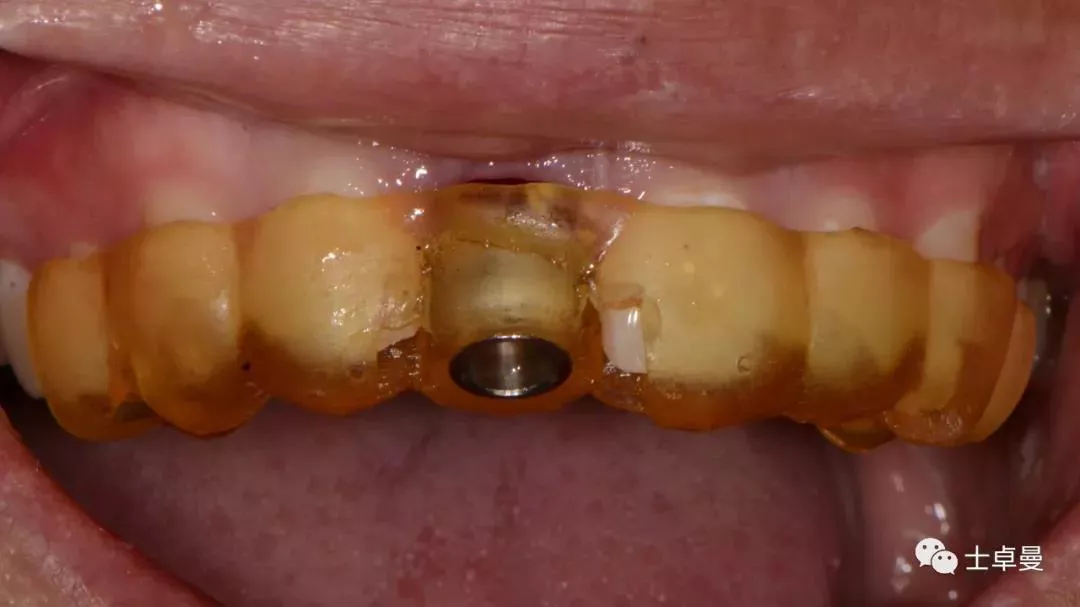
· 用临时基台制作个性化愈合帽;
· 粘接牙片进行马里兰桥临时修复。

分根

拔出腭侧牙根

保留唇侧牙片




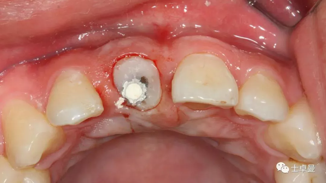
牙周探针探查牙片位置及松动度

就位种植外科导板


指示杆观察备孔三维位置

种植体植入后,植体唇侧间隙内填塞骨粉0.25g,胶原骨100mg,安放愈合帽,明胶海绵暂时封闭创面


术后即刻CT示,种植体植入位置理想


术后即刻制作个性化愈合帽

上部制作马里兰桥临时修复体


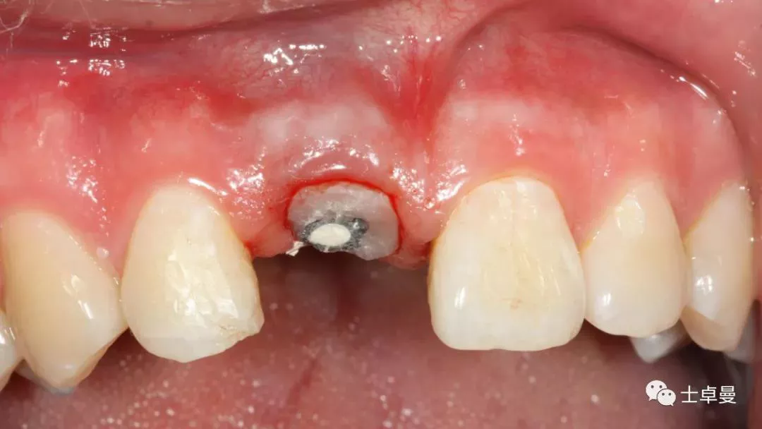
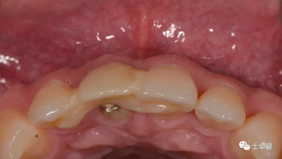
术后10天复查,软组织无炎症



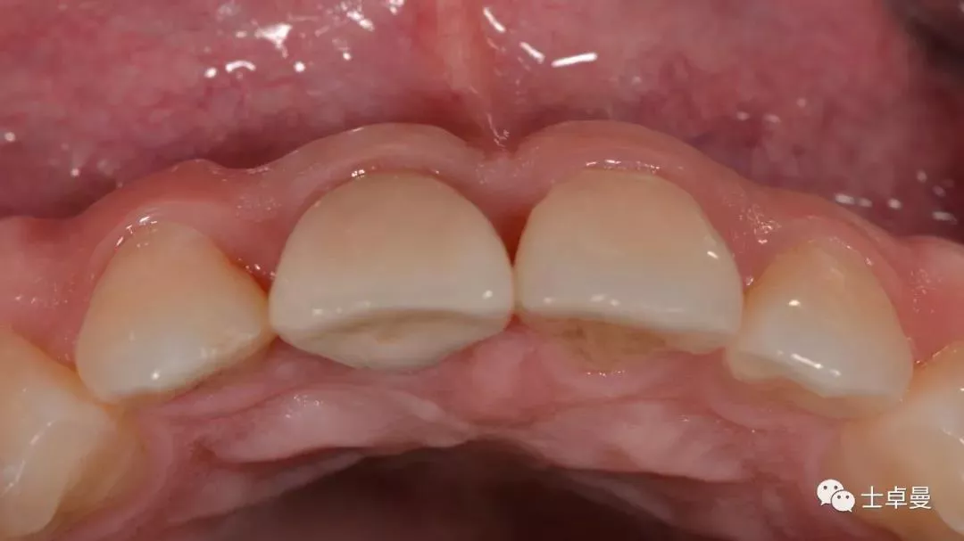
术后1个月,取下马里兰桥,可见骨弓轮廓可,软组织无炎症



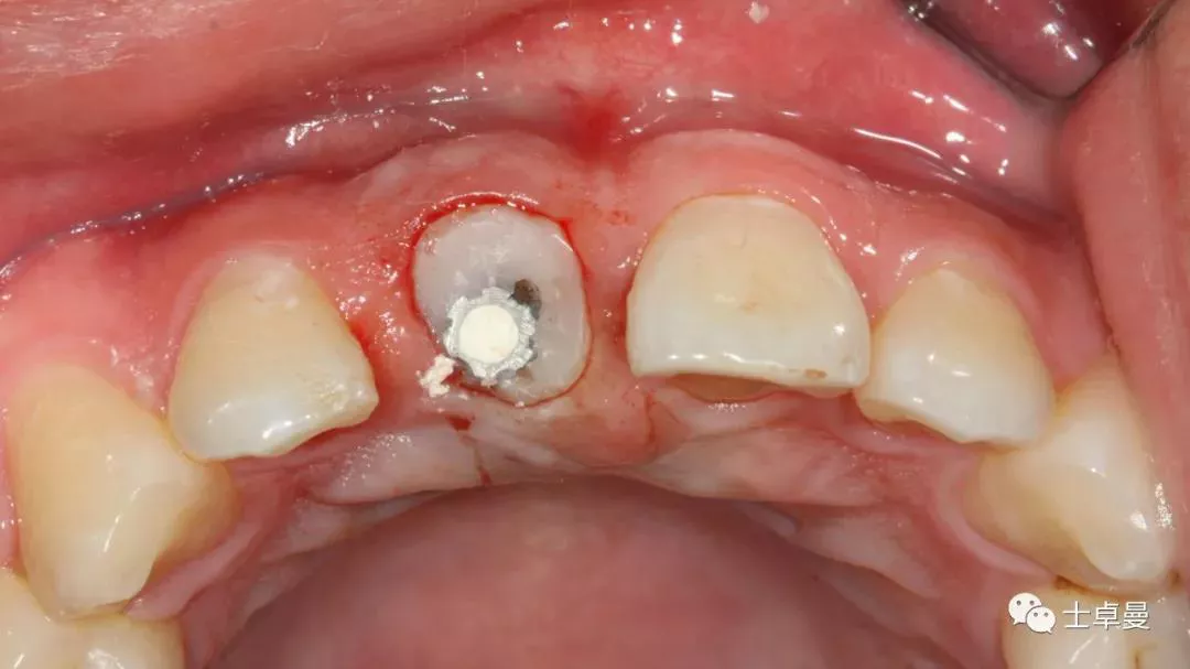
术后4个月复查,软组织无炎症


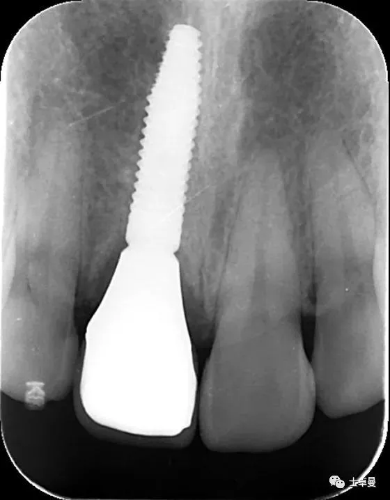
术后4个月复查,种植体周未见明显暗影
修复操作
具体修复步骤
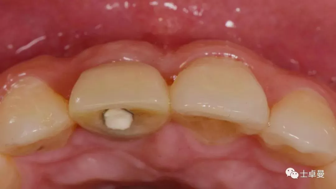
· 种植体植入术后4个月,取下11临时修复马里兰桥,植体ISQ值测定78;
· 椅旁制作11种植体支持式上部临时修复体,精细抛光,复位,加扭力至15Ncm。




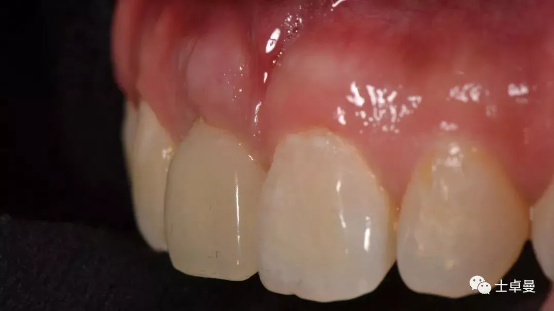
试戴种植体支持式临时修复体,塑型软组织

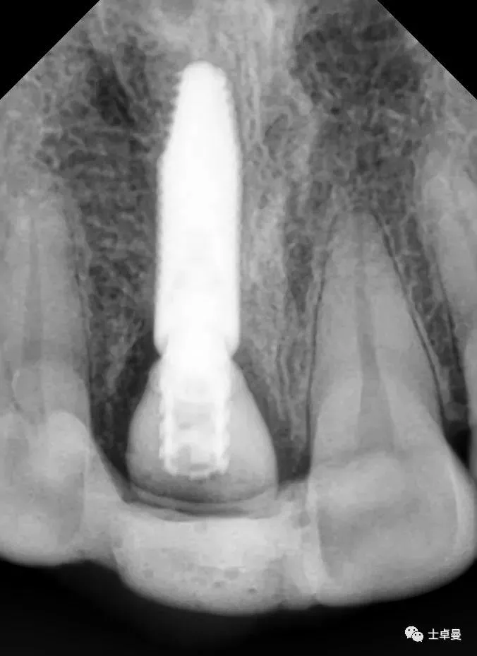
X线片示,临时修复体已就位





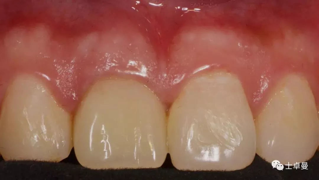
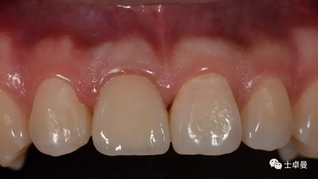
临时修复后2个月,龈缘及龈乳头位置理想,软组织健康
· 2个月后,见唇侧骨弓轮廓可,龈缘及龈乳头形态自然,去11临时修复体,植体ISQ值测定82,个性化取模,试戴Variobase氧化锆基台+LAVA氧化锆单冠,就位被动性良好,增加基台扭力至35Ncm,粘接固位上部冠,调合抛光。








制作个性化取模杆,完成个性化取模


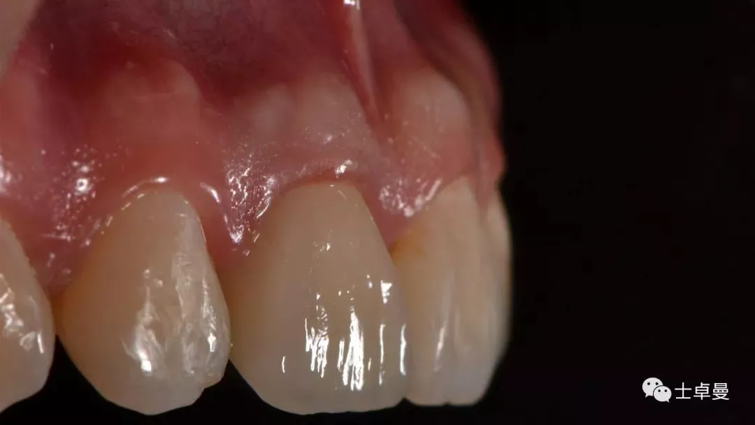
永久修复前穿龈袖口健康





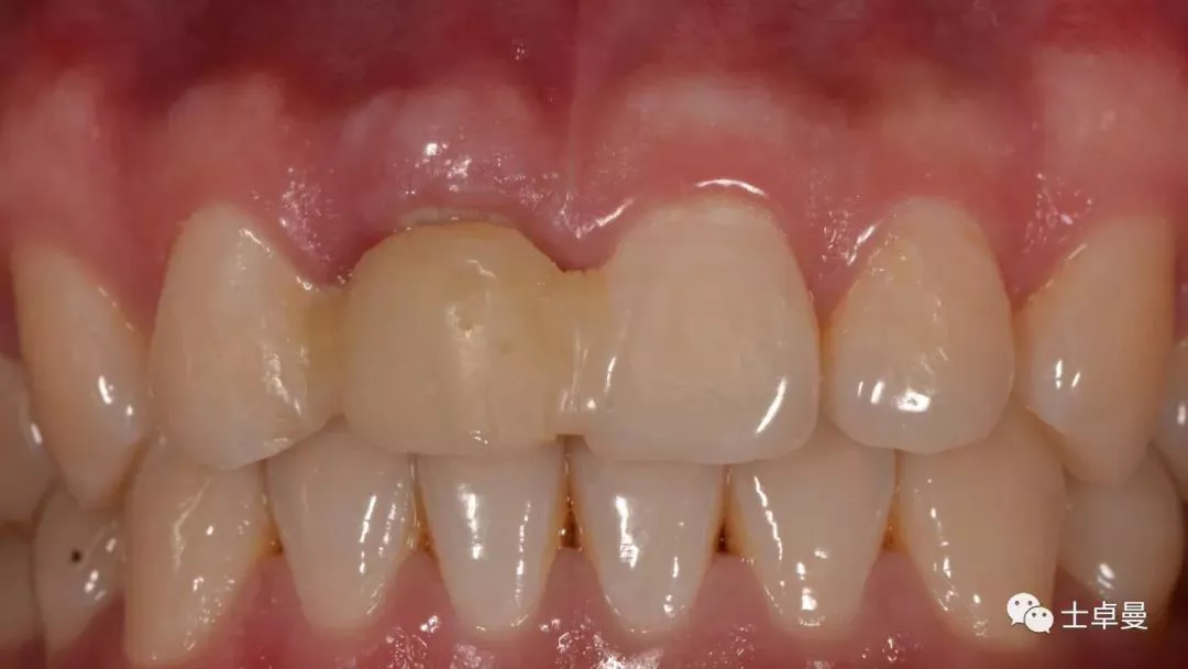
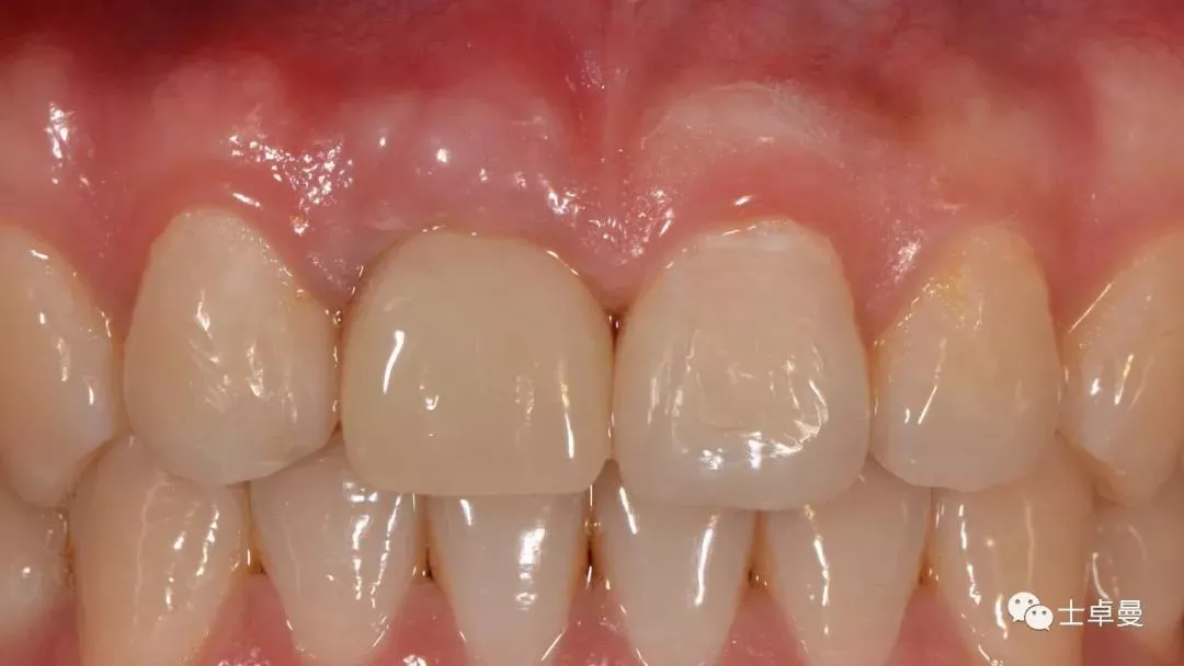
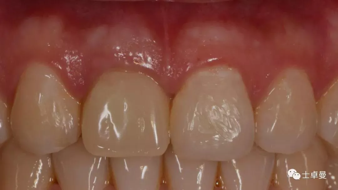
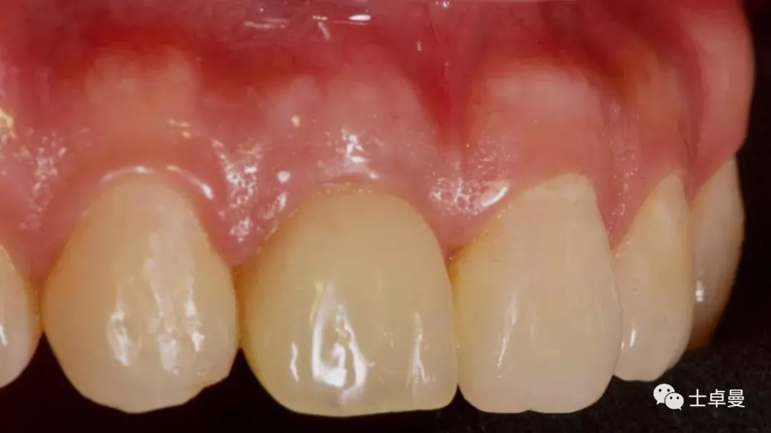
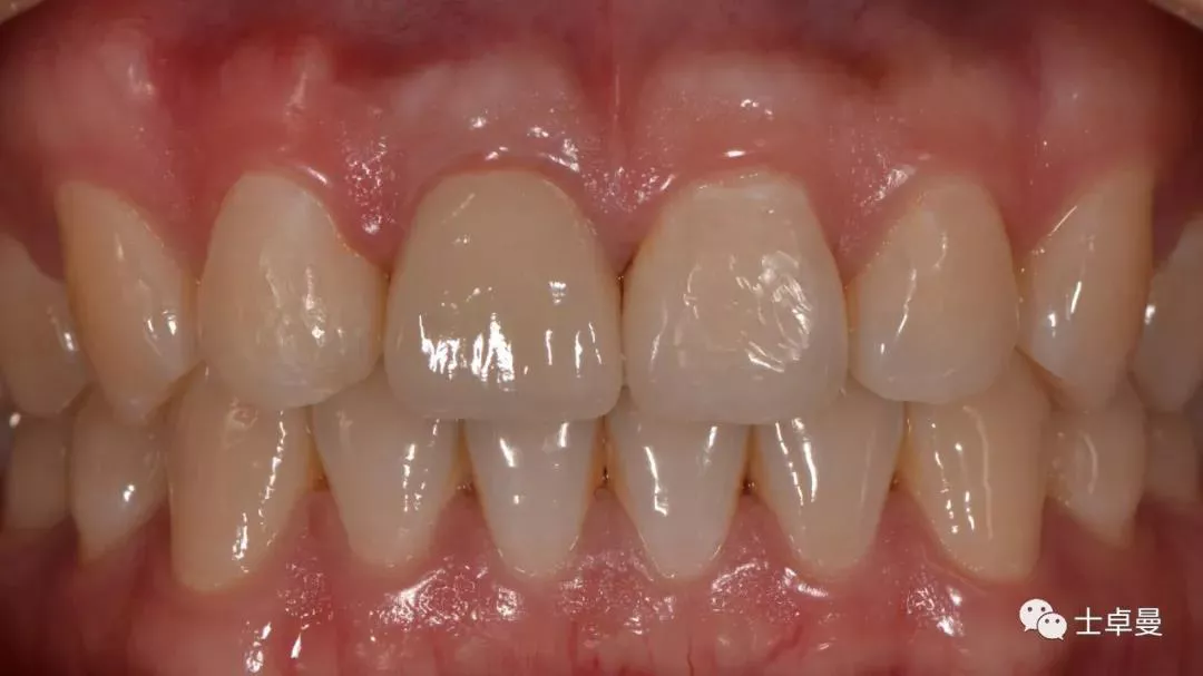
完成永久修复,骨弓轮廓、龈缘及龈乳头形态自然,可见牙龈点彩,修复体外形及色泽可,患者满意。

X线示,永久修复体已就位

结果和结论
· 牙根盾技术是指在种植窝内保留自体牙根盾用于植体周牙槽骨及龈组织的保存,其组织保存原理贴近生理要求;
· 不用开辟第二术区,取结缔组织,患者术后反应小。但是技术敏感性高,需严格选择适应证,把控风险。
讨论
· 上颌前牙美学区即刻种植想要获得成功需要非常严苛的软硬组织条件,但是即便是如此,单纯进行即刻种植或者位点保存,依然不可避免地会有唇侧束状骨的吸收,带来美学风险。以往我们常会用结缔组织移植来弥补唇侧的塌陷,但是一方面需要开辟第二术区,给患者增加痛苦,另一方面,由于束状骨的吸收量存在不可预期性,结缔组织的移植量一样不能准确控制,甚至会带来瘢痕愈合,增加美学风险。
· 盾技术通过保留待拔患牙牙根唇侧的牙片,保留唇侧的牙周膜及血供,从而保存束状骨,避免因唇侧束状骨骨改建而引起的软硬组织塌陷。研究表明:通过组织切片,发现牙片与唇侧骨板间的牙周膜是完整的,种植体与牙片间有新骨的生成,保留的牙根和唇侧骨板没有被吸收现象,软组织没有炎症反应。

种植体与牙片的组织切片 D:牙本质 I:植体 B:骨组织
· 盾技术除了需满足即刻种植的软硬组织条件外,还需排除以下禁忌症:
▷ 牙根松动;
▷ 牙根结构受损 (如腐坏);
▷ 颊侧的牙根断裂处在边缘骨下;
▷ 牙根有牙周病;
▷ 急性感染期;
▷ 牙根颜色太深;
▷ 唇侧骨板缺损太大;
▷ 游离龈边缘位置不理想。
· 盾技术唇侧牙片的制备要求:
▷ 切端位于龈下2mm-3mm,平齐唇侧牙槽嵴顶或高于牙槽嵴顶0.5mm;
▷ 根尖3mm-5mm要完全去除,避免根尖处的根管侧枝和分歧引起继发感染;
▷ 厚度1.5mm-2mm,与植体间不能有直接接触;
▷ 盾不能有松动,否则直接去除。
作者介绍

主治医师,口腔医学硕士研究生
士卓曼特聘讲师
· 杭州口腔医院平海院区口腔种植科学科秘书;
· 擅长应用数字化手段开展前牙美学区种植修复,紧跟口腔种植科学前沿,熟悉各大口腔种植系统,能综合分析病情,并为患者提供最优治疗方案;
· 承担多项省市级口腔种植学课题,有2项已顺利结题,1项省级课题在研,获得多项国家级专利,并有多篇论文发表于国内外核心期刊,多次参加国内外口腔种植学术交流会并做大会发言,有多个种植病例获国内外大奖。
▷ 第二届BEGO全球口腔种植病例大赛优秀病例奖;
▷ 第六次BITC口腔种植大奖赛济南分赛区二等奖;
▷ 第七次BITC口腔种植大奖赛引导骨再生主题优胜奖;
▷ 第九次BITC口腔种植大奖赛骨增量主题三等奖。
文献参考【1】Markus B Hürzeler, Zuhr O , Schupbach P , et al. The socket-shield technique: a proof-of-principle report.[J]. Journal of Clinical Periodontology, 2010, 37.【2】Daniel Bäumer, Zuhr O , Rebele S , et al. The Socket-Shield Technique: First Histological, Clinical, and Volumetrical Observations after Separation of the Buccal Tooth Segment - A Pilot Study[J]. Clinical Implant Dentistry and Related Research, 2013.【3】Mariano, Sanz, Jan, et al. The effect of placing a bone replacement graft in the gap at immediately placed implants: a randomized clinical trial[J]. Clinical Oral Implants Research, 2016.【4】Guirado, José Luis Calvo, Troiano M , López-López, PJ, et al. Different configuration of socket shield technique in peri-implant bone preservation: An experimental study in dog mandible[J]. Annals of Anatomy, 2016:109-115.【5】Calvo-Guirado, José Luis, Benítez-García, Jose Antonio, Maté Sánchez de Val, José Eduardo, et al. Socket-shield technique: the influence of the length of the remaining buccal segment of healthy tooth structure on peri-implant bone and socket preservation. A study in dogs[J]. Annals of Anatomy - Anatomischer Anzeiger, 2018, 221:84-92.【6】Bramanti E , Norcia A , Cicciù, Marco, et al. Postextraction Dental Implant in the Aesthetic Zone, Socket Shield Technique Versus Conventional Protocol[J]. Journal of Craniofacial Surgery, 2018:1.【7】Mourya A , Mishra S K , Gaddale R , et al. Socket shield technique for implant placement to stabilize the facial gingival and osseous architecture: A systematic review[J]. Journal of Investigative and Clinical Dentistry, 2019, 10(4).【8】Ahmed Abd lrahman, Shaheen M , Askar N , et al. Socket shield technique vs conventional immediate implant placement with immediate temporization. Randomized clinical trial[J]. Clinical Implant Dentistry and Related Research, 2020(3).【9】Staehler P , Abraha S M , Bastos J , et al. The socket-shield technique: a step-by-step protocol after 12 years of experience[J]. The International Journal of Esthetic Dentistry, 2020, 15(3):288-305.