【病例分享】无牙颌患者固定式种植义齿修复

分享医生
宋珂 副教授、副主任医师
华中科技大学同济医学院口腔医学院
主要内容
探讨无牙颌患者固定式种植义齿修复的临床意义

前 言

目的:探讨无牙颌患者固定式种植义齿修复的临床意义,为无牙颌患者的临床诊疗提供参考。
 
方法:
  • 下颌烤瓷桥及栓道附着体可摘局部义齿修复后6年,因基牙折断,需改变修复方式;
  • 计划采用固定式种植义齿修复;
  • 术中拔除下颌余留残根,数字化导板引导下即刻植入6枚Axiom种植体;
  • 经过即刻覆盖义齿及过渡义齿修复,于术后16个月后完成最终修复;
  • 该病例报道其种植修复诊疗全过程及最终修复后8个月随访的临床疗效。

结果:6枚种植体植入位置均良好,术后未出现生物学及机械并发症,种植体形成良好的骨结合,最终修复后达到了患者美学及咀嚼功能要求。

结论:固定式种植义齿修复有利于实现美学和功能的双重保障,对于下颌牙列缺失的无牙颌患者是一种良好的修复方式。

 

▷ 患者情况

  • 年龄:70岁
  • 性别:男
  • 现病史:肾病综合症
  • 治疗周期:2019年8月9日——2020年12月18日

▷ 口外检查   

  • 患者颜面部对称,无肿胀及偏斜;
  • 颌面部无畸形或缺损;
  • 开口度三指;
  • 面部比例协调,面下1/3高度稍短;
  • 关节运动时无弹响及疼痛;
  • 双侧颞下颌关节动度协调一致。

▷ 口内检查

  • 上颌可见11、12、13、14、15、21、22、23、24行烤瓷桥修复;
  • 16、17、25、26、27行栓道附着体可摘局部义齿修复;
  • 下颌可见31、33、41、42、43、44烤瓷桥修复;
  • 34、35、36、37、45、46、47行栓道附着体可摘局部义齿修复;
  • 口腔卫生状况不佳,全口牙龈红肿;
  • 下颌前牙烤瓷桥松动,修复体边缘不密合;
  • 牙槽嵴低平,前庭沟深度较浅。

种植术前全口正面咬合照可见口腔卫生状况不佳,牙龈红肿

种植术前下颌合面照

种植术前拆除下颌义齿后合面照

▷ 影像学检查    

  • 可见11、12、13、14、15、21、22、23、24、31、33、44、43、42、41根管内高密度影及上部烤瓷桥修复体;  
  • 31、33、41、42、43、44可见根尖及周围低密度暗影。

术前CBCT影像学检查

▷ 预后结果

  •  上颌11、12、13、14、15、21、22、23、24烤瓷桥可继续行使功能;
  •   下颌31、33、41、42、43、44无保留价值 。

▷ 植体材料

  • Anthogyr Axiom® BL REG Φ3.4mm×12mm (32位点植入);
  • Anthogyr Axiom® BL REG 3.4mm×10mm (42位点植入);
  • Anthogyr Axiom® BL REG 4.6mm×8mm (36位点植入、46位点植入);
  • Anthogyr Axiom® BL REG 4.0mm×10mm (34位点植入、44位点植入);
  • ▷ 基台材料
  • 修复基台类型:螺栓固位基台;
  • 基台型号:螺栓基台Φ4.0h1 (1枚)、螺栓基台Φ4.0h2 (5枚)、螺栓基台Φ4.0h3 (2枚);

▷ 其他材料

  • 全可调解剖式
  • 数字化设计软件。

▷ 手术类型

  • 非埋入式。                

▷ 手术程序

  •   摘除下颌活动义齿,拆除下颌前部固定义齿;

拆除下颌固定义齿后下颌合面照

  •   拔除无法保留的44、43、42、41、31、33残冠;

行下颌牙拔除术

拔除下颌残根残冠

  •  术中翻瓣、数字化导板下进行定位;

术中安置导板

导板下定位

  • 于32、34、36、42、44、46位点植入6枚Anthogyr Axiom® 种植体,拔牙创内填塞Bio-oss,覆盖Bio-Gide;

6枚种植体就位后:种植体与骨平面的位置关系 (分段就位)

  • 核对植入扭矩后,安装螺栓固位基台,基台水平取模后椅旁制作即刻义齿;
  •  采用非埋入式愈合方式,严密缝合创口。

术毕,缝合后合面照

术后即刻CBCT示种植体三维植入位置良好,唇舌侧骨板可

▷ 临时修复   

  • 术后即刻行种植体支持式临时义齿修复;
  • 4个月后种植体周软硬组织愈合稳定后,再次取模制作第二副临时过渡义齿;
  • 计划佩戴1-2个月后依据第二副临时义齿外形及咬合制作最终修复。

▷ 技工室制作

  • 术后即刻制取印模后灌注石膏模型;

·        

口内术后即刻制取印模

术后即刻制取印模

制作石膏模型

  • 蜡型排牙于架就位,检查咬合及外形;

模型上架

即刻覆盖义齿蜡型上架

制作即刻覆盖义齿蜡型a.

制作即刻覆盖义齿蜡型b.

制作即刻覆盖义齿蜡型c.

  • 制作即刻义齿,并上架检查其咬合关系及修复外形。

即刻覆盖义齿上架

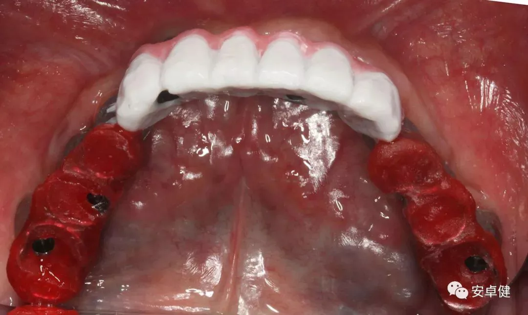
试戴下颌覆盖义齿正面咬合照

试戴下颌覆盖义齿正面微张照

试戴下颌覆盖义齿合面照

▷ 过渡义齿制作

  • 术后4个月,患者软硬组织愈合稳定;

二期复诊正面咬合照

二期复诊CBCT影像学检查示种植体周围骨密度良好,骨量可

测量种植体动度

二期取模拆除下颌义齿合面照

  • 二期制作个性化托盘,制取个性化印模;

制作个性化托盘

试戴个性化托盘

  • 制作过渡义齿蜡型,试戴检查其外形及咬合关系;

制取个性化印模a.

制取个性化印模b.

二期制取个性化印模正面照

二期制取个性化印模合面照

二期制取个性化印模可见托盘就位性良好

二期制取个性化印模b.

  • 制作第二副临时过渡义齿。

模型上制作过渡义齿蜡型正面照

模型上制作过渡义齿蜡型合面照

试戴过渡义齿蜡型正面咬合照

试戴过渡义齿蜡型下颌正面照

试戴过渡义齿蜡型合面照

临时过渡义齿a.

临时过渡义齿b.

▷ 术后一年复诊

种植术后一年复诊正面照

种植术后一年复诊侧面照a.

种植术后一年复诊侧面照b.

 ▷ 术后13个月复诊

术后13个月复查正面咬合照

术后13个月复查正面微张照

术后13个月复查合面照

术后13个月复查拆除下颌过渡义齿正面照

术后13个月复查拆除下颌过渡义齿合面照

▷ 最终修复体制作

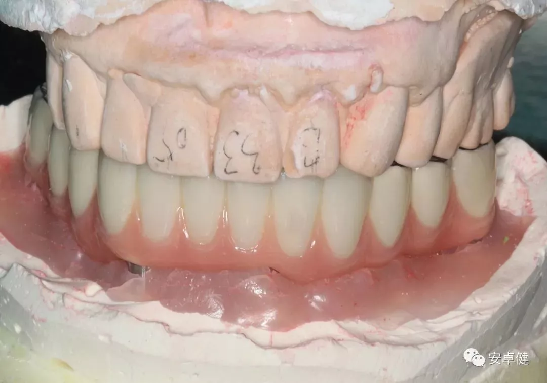
  • 由于疫情原因,术后16个月制取最终修复体印模;

最终修复体蜡型合面照

  • 制作最终修复体蜡型,分别于架及口内试戴检查其外形及咬合;

最终修复体蜡型上架正面观

最终修复体蜡型上侧面观

试戴最终修复体蜡型正面照

试戴最终修复体蜡型侧面照

试戴最终修复体蜡型合面照

  • 完成最终修复体制作。

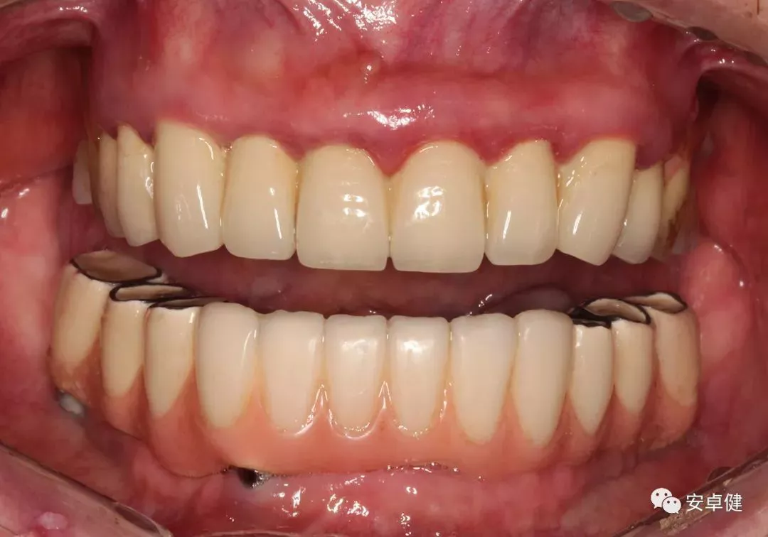
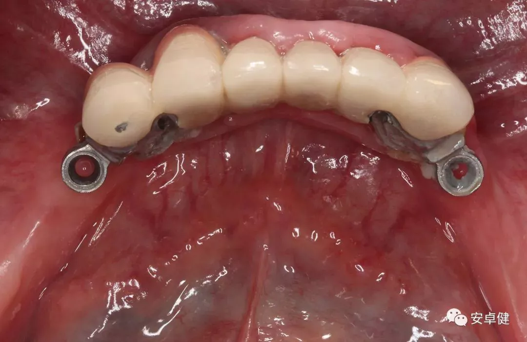
最终修复体合面照

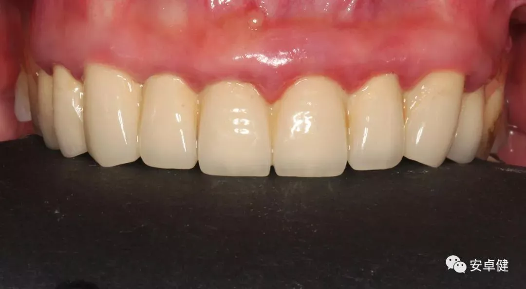
最终修复体正面照

最终修复体正面咬合照

最终修复体侧面咬合照

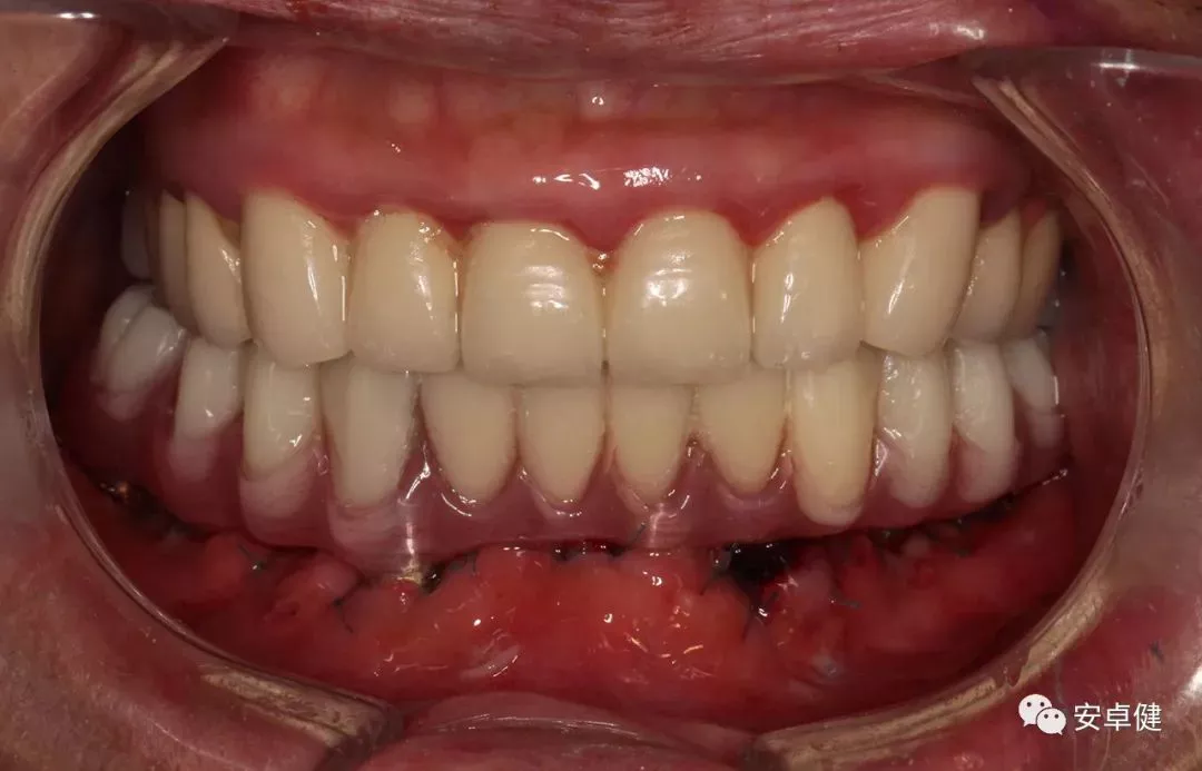
最终修复复诊合面观

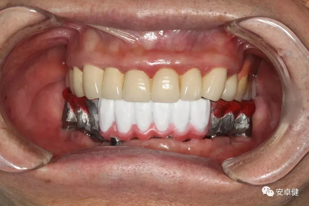
戴最终修复体合面观

戴最终修复体正面咬合照

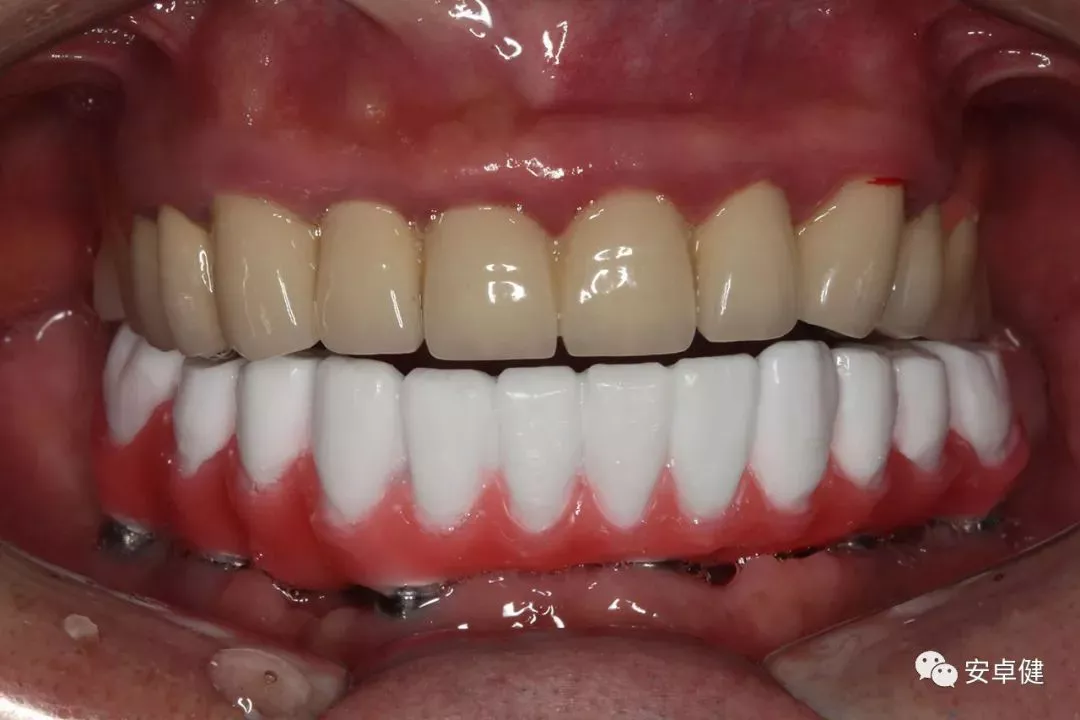
戴牙后4个月复诊正面咬合照

戴牙后4个月复诊正面微张照

戴牙后4个月复诊合面照

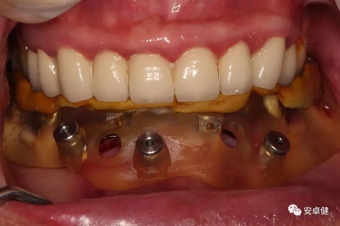
▷ 永久修复

患者术后16个月:

  • 于口内试戴原厂纯钛切削一体式桥架,并检查前牙排蜡外形及后牙咬合关系;
  • 聚合瓷烤塑制作最终修复体;
  • 为减少牙面磨耗,于后牙区制作360度防裂纯钛金属带;
  • 试戴满意后,二级螺丝加力至15N;
  • 特氟龙封闭螺丝孔,光固化复合树脂封闭上方螺丝通道,完成最终固定式种植义齿修复;
  • 修复体外形能够正确恢复面下1/3高度及侧貌;    
  • 患者可获得较为稳定的咬合关系,并满足其咀嚼功能的需求;
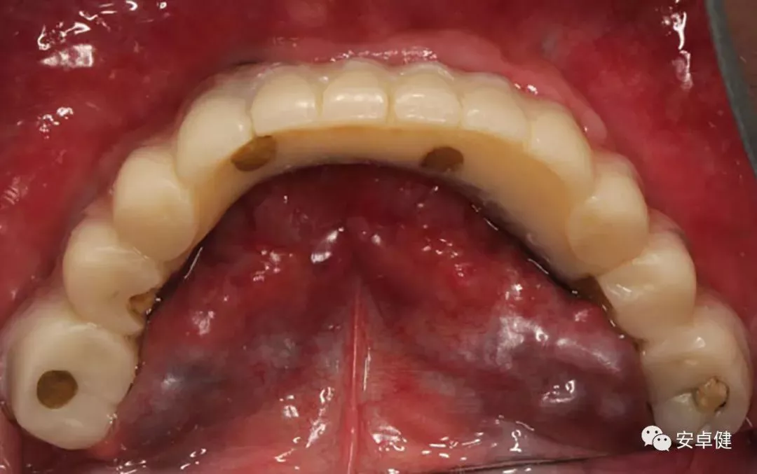
  • 患者42、46部位牙龈退缩,缺乏足够的角化龈,为方便后期清洁维护,选择穿龈较高的龈上肩台;
  • 口内观察,修复体边缘金属基台颜色暴露,但由于其处于下颌后牙非微笑暴露区,故对临床整体美观效果的影响在患者可接受范围内。

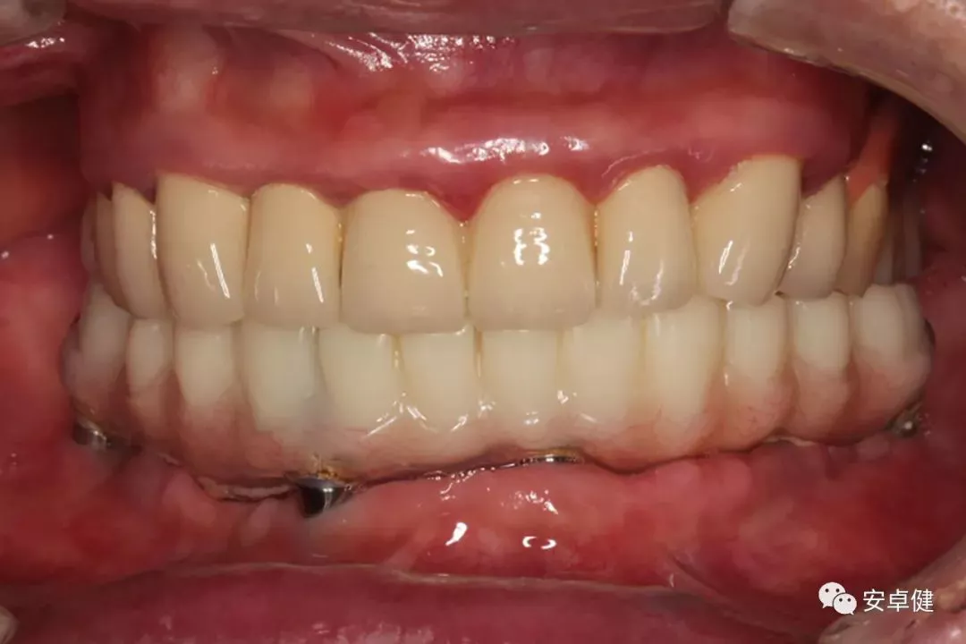
最终修复后8个月

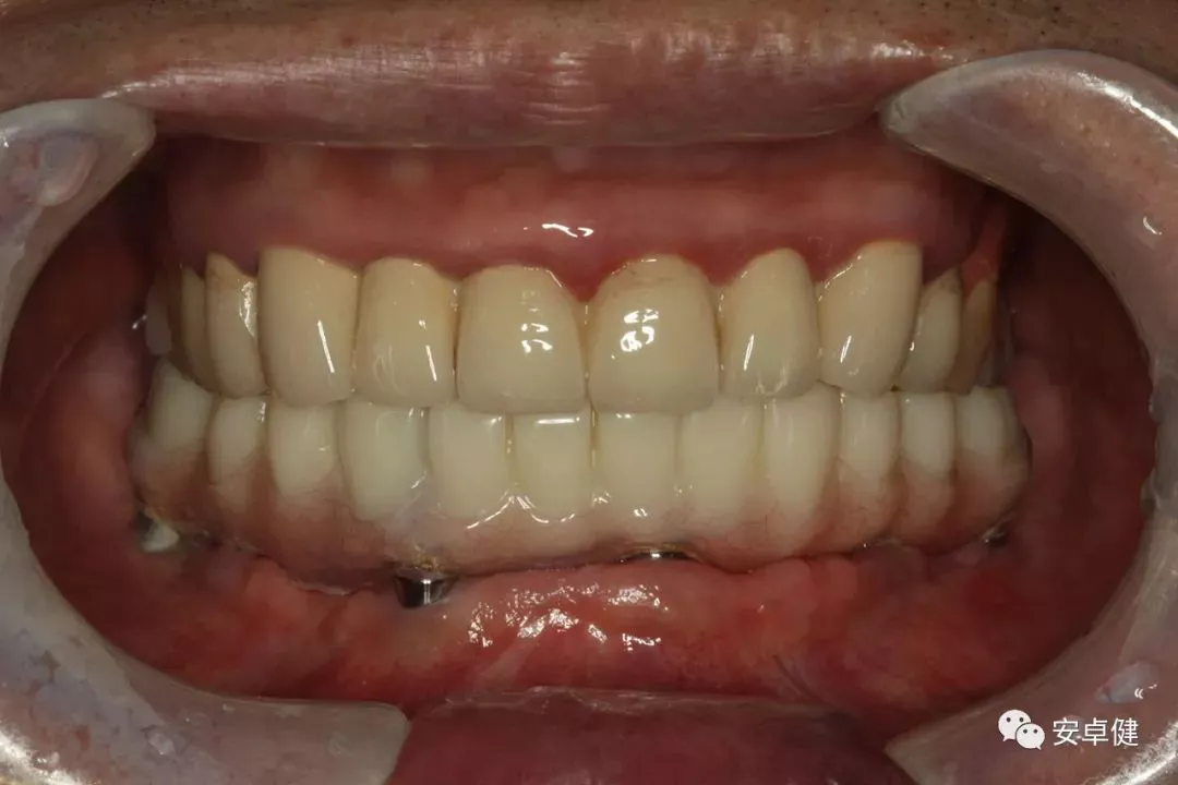
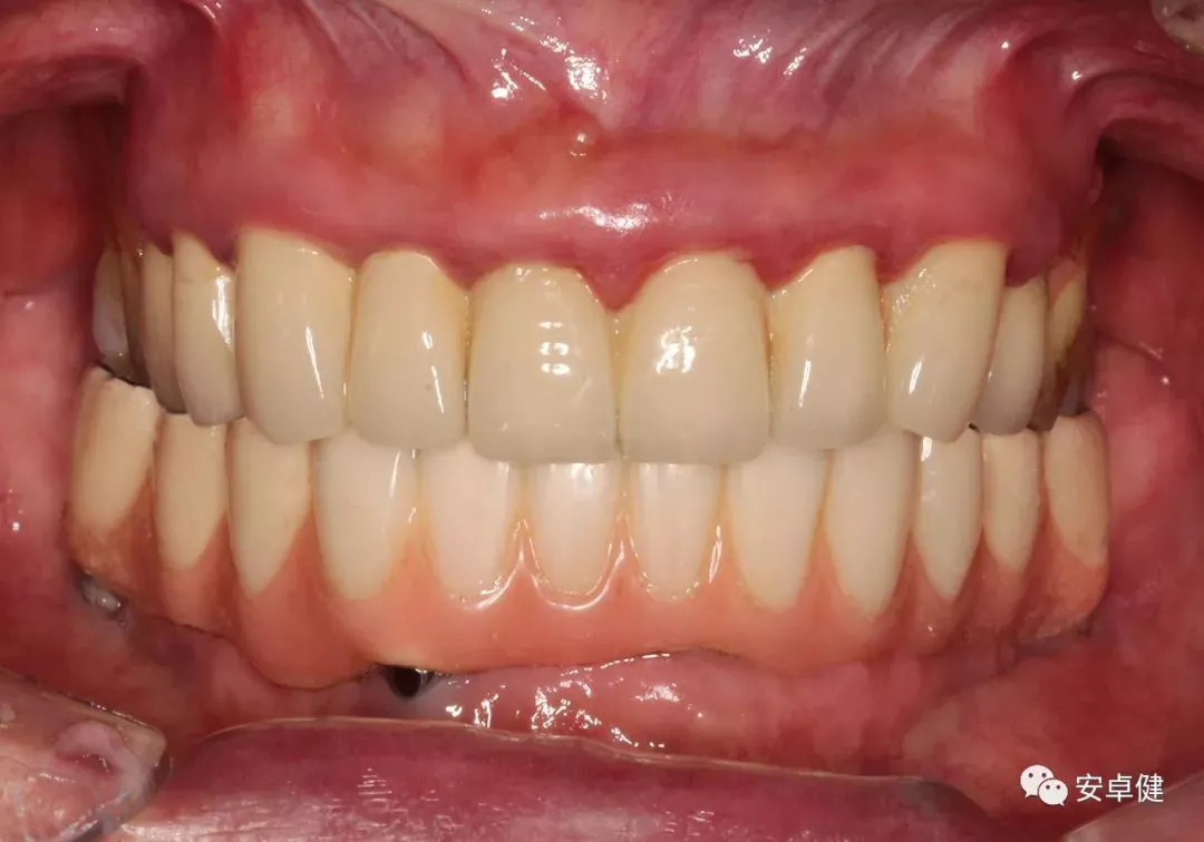
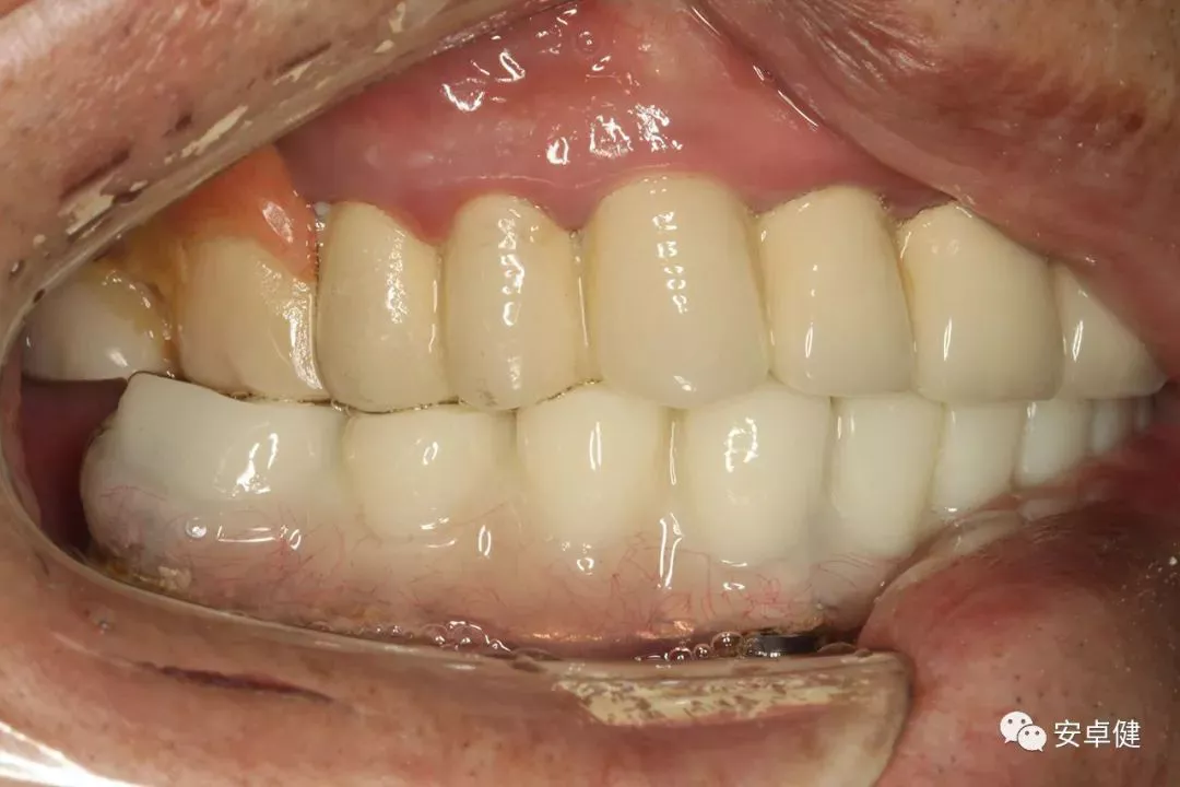
戴牙后8个月复诊正面咬合照

戴牙后8个月复诊正面微张照

戴牙后8个月复诊合面照

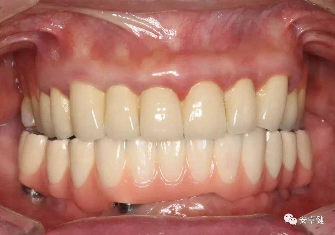
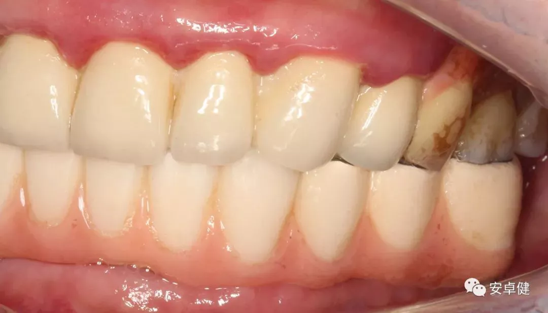
戴牙后8个月复诊上颌正面照

戴牙后8个月复诊下颌正面照

戴牙后8个月复诊侧方咬合照

咬合检查

  • 随访可见患者口腔卫生状况可,牙龈无红肿;
  • 下颌修复体状态良好,无修复体机械并发症;
  • 种植体基台稳定性良好,无松动;
  • 种植体无松动,周围无红肿、溢脓及疼痛表现;
  • 正中、前伸及侧方咬合检查可见咬合印记分布均匀,咬合关系良好;
  • 患者反映日常使用良好,舒适性佳,满意度高。  

▷ 种植两年后复诊

种植两年后复诊CBCT影像学检查示种植体周围骨密度良好

在该病例中选择拔除患者无保留价值的下颌余留残根,在原有义齿的基础上,采用经数字化设计,计划在下颌植入6枚种植体,支持下颌一体式全口固定式修复方案。
术后采取即刻义齿修复,可即时满足患者日常咀嚼功能及美观的需求。术后4个月,种植体周软硬组织愈合稳定后,再次取模制作第二副临时过渡义齿,以期进一步改善美观、稳定患者的咬合关系。由于疫情原因,患者最终修复延迟了半年以上。最终修复体参照第二副临时义齿的外形及咬合关系,患者无不适期。
完成最终修复体及其后8个月的随访,可见种植体周牙槽骨稳定,口内种植体周围软组织无明显炎症,在美观和功能方面都取得了较为满意的结果。该病例获得了较为稳定的临床效果,可为无牙颌患者的临床诊疗工作提供一定的参考。故临床中针对符合种植适应证的无牙颌患者,可结合患者综合情况,考虑为其制定个性化全口固定式种植义齿的修复方案。  

博士、副主任医师、硕士生导师

  • 华中科技大学同济医学院附属同济医院;
  • 华中科技大学同济医学院口腔医学院;
  • 湖北省口腔医学会口腔修复学专业委员会常务委员;
  • 湖北省口腔医学会口腔种植学专业委员会常务委员;
  • 湖北省口腔医学会理事。

*参考文献*

  •   宿玉成. 口腔种植学第2版 [M]. 北京:人民卫生出版社, 2014.                                      
  •    D.BUSER, D.WISMEIJER, U.BELSER. 国际口腔种植学会(ITI)口腔种植临床指南-牙种植学的负荷方案:牙列缺失的负荷方案. 宿玉成译 [M]. 北京:人民军医出版社. 2011.     
  • Limmer B, Sanders AE, Reside G, Cooper LF. Complications and patient-centered outcomes with an implant-supported monolithic zirconia fixed dental prosthesis: 1 year results. J Prosthodont. 2014.    

照片来源:

士卓曼集团 — 法国安卓健公司 — 宋珂 医生 — 保留所有权利。